The DPP3 Antibody (CAB7054) is a high-quality antibody developed for reliable detection and analysis of target proteins. This antibody, generated in rabbits, exhibits strong reactivity with human samples and is suitable for use in Western blot applications. By specifically binding to the DPP3 protein, researchers can effectively detect and analyze its expression in different cell types, making it ideal for investigations in biochemistry and cancer research.DPP3, also known as dipeptidyl peptidase 3, plays a pivotal role in cellular metabolism and signaling pathways, making it a key target for research into diseases such as cancer, metabolic disorders, and cardiovascular diseases.
This antibody is validated for use in WB, ELISA applications and has demonstrated reactivity against Human, Mouse, Rat samples.
Product Name:
DPP3 Antibody
SKU:
CAB7054
Size:
20μL, 100μL
Reactivity:
Human, Mouse, Rat
Conjugate:
Unconjugated
Immunogen:
Recombinant protein (or fragment).This information is considered to be commercially sensitive.
This gene encodes a protein that is a member of the M49 family of metallopeptidases. This cytoplasmic protein binds a single zinc ion with its zinc-binding motif (HELLGH) and has post-proline dipeptidyl aminopeptidase activity, cleaving Xaa-Pro dipeptides from the N-termini of proteins. Increased activity of this protein is associated with endometrial and ovarian cancers. Alternatively spliced transcript variants have been found for this gene.
Purification Method
Affinity purification
Gene ID
10072
RRID
AB_2767609
Buffer Information
Store at -20℃. Avoid freeze / thaw cycles. Buffer: PBS containing 50% glycerol, preserved with proclin300 or sodium azide, pH 7.3.
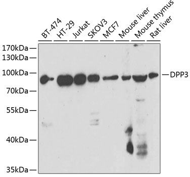
Western blot analysis of various lysates using DPP3 Rabbit pAb (CAB7054) at 1:1000 dilution. Secondary antibody: HRP-conjugated Goat anti-Rabbit IgG (H+L) (CABS014) at 1:10000 dilution. Lysates/proteins: 25μg per lane. Blocking buffer: 3% nonfat dry milk in TBST. Detection: ECL Basic Kit (AbGn00020). Exposure time: 90s.