DPPA3 Antibody is a premium polyclonal that offers outstanding performance and reliability for demanding research applications. Rigorously validated for ELISA, IHC, this antibody ensures consistent, reproducible results across multiple experimental platforms. Demonstrates excellent reactivity with Human samples, providing researchers with confidence in cross-species compatibility. Conveniently packaged in 50ug format to meet your experimental needs. For optimal performance, store at -20°C or -80°C and maintains stability for 12 months. Backed by rigorous quality control testing to ensure superior performance in your critical research applications.
Product Name:
DPPA3 Antibody
SKU:
PACO57224
Size:
50μg
Isotype:
IgG
Host Species:
Rabbit
Reactivity:
Human
Immunogen:
Recombinant Human Developmental pluripotency-associated protein 3 protein (1-159AA)
Immunogen Species:
Homo sapiens (Human)
Uniprot No:
Q6W0C5
Form:
Liquid
Tested Applications:
ELISAIHC
Recommended Dilution:
Application
Recommended Dilution
IHC
1:200-1:500
Synonyms:
Compaction associated protein 1 antibody, Developmental pluripotency associated 3 antibody, Developmental pluripotency associated protein 3 antibody, Developmental pluripotency-associated protein 3 antibody, Dppa3 antibody, DPPA3_HUMAN antibody, PGC7 antibody, Stella related protein antibody, Stella-related protein antibody
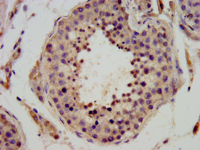
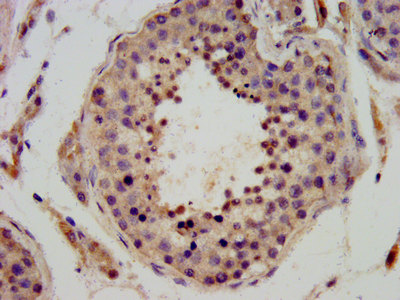
IHC image of PACO57224 diluted at 1:400 and staining in paraffin-embedded human testis tissue performed on a Leica BondTM system. After dewaxing and hydration, antigen retrieval was mediated by high pressure in a citrate buffer (pH 6.0). Section was blocked with 10% normal goat serum 30min at RT. Then primary antibody (1% BSA) was incubated at 4°C overnight. The primary is detected by a biotinylated secondary antibody and visualized using an HRP conjugated SP system.