The Dystrophin Antibody (CAB1411) is a high-quality antibody developed for reliable detection and analysis of target proteins. Dystrophin plays a key role in maintaining the structural integrity of muscle cells, and mutations in the dystrophin gene are associated with muscular dystrophies.This antibody, raised in rabbits, is highly specific for human samples and has been validated for use in Western blot applications. By binding to dystrophin, researchers can detect and analyze this important protein in a variety of cell types, making it an excellent choice for studies in muscle biology and neuromuscular diseases.
This antibody is validated for use in WB, IHC-P, ELISA, IF-P applications and has demonstrated reactivity against Human, Mouse, Rat samples.
Product Name:
Dystrophin Antibody
SKU:
CAB1411
Size:
20μL, 100μL
Reactivity:
Human, Mouse, Rat
Conjugate:
Unconjugated
Immunogen:
Recombinant protein (or fragment).This information is considered to be commercially sensitive.
This gene spans a genomic range of greater than 2 Mb and encodes a large protein containing an N-terminal actin-binding domain and multiple spectrin repeats. The encoded protein forms a component of the dystrophin-glycoprotein complex (DGC), which bridges the inner cytoskeleton and the extracellular matrix. Deletions, duplications, and point mutations at this gene locus may cause Duchenne muscular dystrophy (DMD), Becker muscular dystrophy (BMD), or cardiomyopathy. Alternative promoter usage and alternative splicing result in numerous distinct transcript variants and protein isoforms for this gene.
Purification Method
Affinity purification
Gene ID
1756
RRID
AB_2760965
Buffer Information
Store at -20℃. Avoid freeze / thaw cycles. Buffer: PBS containing 50% glycerol, preserved with proclin300 or sodium azide,pH7.3.
Western blot analysis of various lysates using Dystrophin Rabbit pAb (CAB1411) at 1:1000 dilution. Secondary antibody: HRP-conjugated Goat anti-Rabbit IgG (H+L) (CABS014) at 1:10000 dilution. Lysates/proteins: 25μg per lane. Blocking buffer: 3% nonfat dry milk in TBST. Detection: ECL Basic Kit (AbGn00020). Exposure time: 10s.
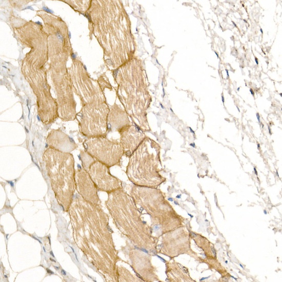
Immunohistochemistry analysis of paraffin-embedded Human skeletal muscle using Dystrophin Rabbit pAb (CAB1411) at dilution of 1:20 (40x lens). High pressure antigen retrieval performed with 0.01M Citrate buffer (pH 6.0) prior to IHC staining.
Immunohistochemistry analysis of paraffin-embedded Rat heart using Dystrophin Rabbit pAb (CAB1411) at dilution of 1:20 (40x lens). High pressure antigen retrieval performed with 0.01M Citrate buffer (pH 6.0) prior to IHC staining.
Immunofluorescence analysis of paraffin-embedded Human skeletal muscle using Dystrophin Rabbit pAb (CAB1411) at dilution of 1:50 (40x lens). Secondary antibody: Cy3-conjugated Goat anti-Rabbit IgG (H+L) (CABS007) at 1:500 dilution. Blue: DAPI for nuclear staining.Perform high pressure antigen retrieval with 0.01 M citrate buffer (pH 6.0) prior to IF staining.