The EPN2 Antibody (CAB16106) is a high-quality antibody developed for reliable detection and analysis of target proteins. This antibody, produced in rabbits, exhibits high specificity and sensitivity for detecting EPN2 in human samples, making it optimal for Western blot applications. By targeting the EPN2 protein, researchers can investigate its role in various cellular processes and pathways.EPN2, also known as epsin-2, is essential for the formation of clathrin-coated pits on the cell membrane, facilitating the internalization of signaling receptors and other molecules. Its function in endocytosis makes it a key player in regulating cellular communication and nutrient uptake.
This antibody is validated for use in WB, IHC-P, ELISA applications and has demonstrated reactivity against Human samples.
Product Name:
EPN2 Antibody
SKU:
CAB16106
Size:
20μL, 100μL
Reactivity:
Human
Conjugate:
Unconjugated
Immunogen:
Recombinant protein (or fragment).This information is considered to be commercially sensitive.
This gene encodes a protein which interacts with clathrin and adaptor-related protein complex 2, alpha 1 subunit. The protein is found in a brain-derived clathrin-coated vesicle fraction and localizes to the peri-Golgi region and the cell periphery. The protein is thought to be involved in clathrin-mediated endocytosis. Alternate splicing of this gene results in multiple transcript variants encoding different isoforms.
Purification Method
Affinity purification
Gene ID
22905
RRID
AB_2763549
Buffer Information
Store at -20℃. Avoid freeze / thaw cycles. Buffer: PBS with 0.01% thimerosal,50% glycerol,pH7.3.
Western blot analysis of various lysates using EPN2 Rabbit pAb (CAB16106) at 1:1000 dilution. Secondary antibody: HRP-conjugated Goat anti-Rabbit IgG (H+L) (CABS014) at 1:10000 dilution. Lysates/proteins: 25μg per lane. Blocking buffer: 3% nonfat dry milk in TBST. Detection: ECL Basic Kit (AbGn00020). Exposure time: 3s.
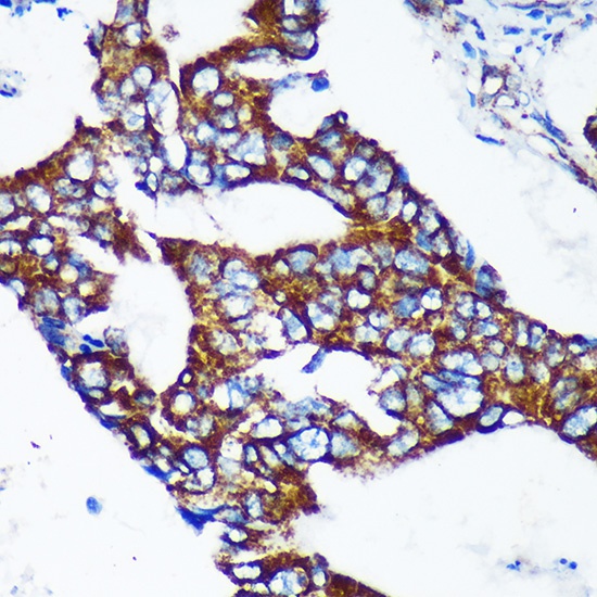
Immunohistochemistry analysis of paraffin-embedded Human colon carcinoma using EPN2 Rabbit pAb (CAB16106) at dilution of 1:100 (40x lens). Microwave antigen retrieval performed with 0.01M PBS Buffer (pH 7.2) prior to IHC staining.