The ERVK-6 Polyclonal Antibody (PAC036478) is a valuable tool for studying ERVK-6, a endogenous retroviral element with potential implications in immune regulation and inflammatory response. This rabbit-derived antibody is highly specific to human ERVK-6 protein and has been validated for use in Western blot applications.ERVK-6, a member of the ERV family, has been linked to various pathologies, including autoimmune diseases and cancer.
By targeting ERVK-6 protein, researchers can gain insights into its role in immune modulation and potential as a therapeutic target for immune-related disorders. This antibody enables precise detection and analysis of ERVK-6 expression in different cell types, making it an essential tool for studies in immunology and cancer research.
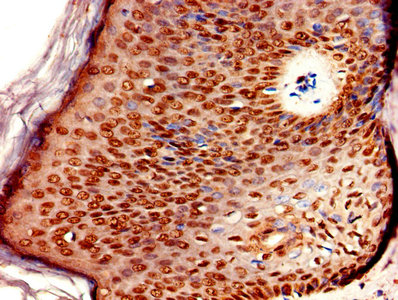
Immunohistochemistry of paraffin-embedded human skin tissue using PACO36478 at dilution of 1:100.
Immunofluorescent analysis of A549 cells using PACO36478 at dilution of 1:100 and Alexa Fluor 488-congugated AffiniPure Goat Anti-Rabbit IgG(H+L).
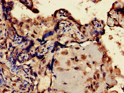
Immunohistochemistry of paraffin-embedded human placenta tissue using PACO36478 at dilution of 1:100.
Background:
Retroviral envelope proteins mediate receptor recognition and membrane fusion during early infection. Endogenous envelope proteins may have kept, lost or modified their original function during evolution. This endogenous envelope protein has lost its original fusogenic properties.
Synonyms:
Endogenous retrovirus group K member 6 Env polyprotein (EnvK2 protein) (Envelope polyprotein) (HERV-K(C7) envelope protein) (HERV-K(HML-2.HOM) envelope protein) (HERV-K108 envelope protein) (HERV-K_7p22.1 provirus ancestral Env polyprotein) [Cleaved into: Surface protein (SU); Transmembrane protein (TM)], ERVK-6, ERVK6
UniProt Protein Function:
ERVK6: Retroviral envelope proteins mediate receptor recognition and membrane fusion during early infection. Endogenous envelope proteins may have kept, lost or modified their original function during evolution. This endogenous envelope protein has lost its original fusogenic properties. Belongs to the beta type-B retroviral envelope protein family. HERV class-II K(HML-2) env subfamily.Protein type: EC 3.4.23.16; EC 3.4.23.-; EC 2.7.7.7; Protease; EC 3.1.26.4; Transferase; Membrane protein, integral; EC 2.7.7.49; RibonucleaseChromosomal Location of Human Ortholog: 7p22.1