The EVA1A Polyclonal Antibody (CAB8070) is a high-quality antibody developed for reliable detection and analysis of target proteins. This antibody, raised in rabbits, is highly specific for human samples and has been validated for use in Western blot applications. By binding to the EVA1A protein, this antibody allows for precise detection and analysis of EVA1A expression in various cell types.EVA1A, also known as engulfment and cell motility protein 1, plays a crucial role in regulating autophagy, a process essential for maintaining cellular health and function. Dysregulation of autophagy has been linked to various diseases, including cancer and neurodegenerative disorders.
This antibody is validated for use in WB, IHC-P, ELISA applications and has demonstrated reactivity against Human, Mouse, Rat samples.
Product Name:
EVA1A Polyclonal Antibody
SKU:
CAB8070
Size:
20μL, 100μL
Reactivity:
Human, Mouse, Rat
Conjugate:
Unconjugated
Immunogen:
Recombinant protein (or fragment).This information is considered to be commercially sensitive.
Predicted to be involved in apoptotic process and autophagy. Located in intracellular membrane-bounded organelle and plasma membrane.
Purification Method
Affinity purification
Gene ID
84141
RRID
AB_2769373
Buffer Information
Store at -20℃. Avoid freeze / thaw cycles. Buffer: PBS containing 50% glycerol, preserved with proclin300 or sodium azide, pH 7.3.
Western blot analysis of lysates from 293T cells, using EVA1A Rabbit pAb (CAB8070) at 1:1000 dilution. Secondary antibody: HRP-conjugated Goat anti-Rabbit IgG (H+L) (CABS014) at 1:10000 dilution. Lysates/proteins: 25μg per lane. Blocking buffer: 3% nonfat dry milk in TBST. Detection: ECL Basic Kit (AbGn00020). Exposure time: 180s.
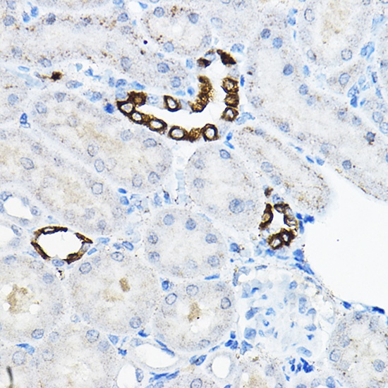
Immunohistochemistry analysis of paraffin-embedded Rat kidney using EVA1A Rabbit pAb (CAB8070) at dilution of 1:100 (40x lens). High pressure antigen retrieval performed with 0.01M Citrate buffer (pH 6.0) prior to IHC staining.