EXD2 Antibody is a premium polyclonal that offers outstanding performance and reliability for demanding research applications. Rigorously validated for ELISA, WB, IHC, this antibody ensures consistent, reproducible results across multiple experimental platforms. Demonstrates excellent reactivity with Human, Mouse samples, providing researchers with confidence in cross-species compatibility. Conveniently packaged in 50ug format to meet your experimental needs. For optimal performance, store at -20°C or -80°C and maintains stability for 12 months. Backed by rigorous quality control testing to ensure superior performance in your critical research applications.
Product Name:
EXD2 Antibody
SKU:
PACO47082
Size:
50μg
Isotype:
IgG
Host Species:
Rabbit
Reactivity:
Human, Mouse
Immunogen:
Recombinant Human Exonuclease 3\'-5\' domain-containing protein 2 protein (137-245AA)
Western Blot Positive WB detected in: Mouse brain tissue, Mouse stomach tissue All lanes: EXD2 antibody at 2.8µg/ml Secondary Goat polyclonal to rabbit IgG at 1/50000 dilution Predicted band size: 71, 57 kDa Observed band size: 71 kDa
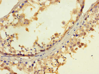
Immunohistochemistry of paraffin-embedded human testis tissue using PACO47082 at dilution of 1:100
Immunohistochemistry of paraffin-embedded human gastric cancer using PACO47082 at dilution of 1:100