FAHD2A Antibody is a premium polyclonal that offers outstanding performance and reliability for demanding research applications. Rigorously validated for ELISA, WB, IHC, this antibody ensures consistent, reproducible results across multiple experimental platforms. Demonstrates excellent reactivity with Human samples, providing researchers with confidence in cross-species compatibility. Conveniently packaged in 50ug format to meet your experimental needs. For optimal performance, store at -20°C or -80°C and maintains stability for 12 months. Backed by rigorous quality control testing to ensure superior performance in your critical research applications.
Product Name:
FAHD2A Antibody
SKU:
PACO38150
Size:
50μg
Isotype:
IgG
Host Species:
Rabbit
Reactivity:
Human
Immunogen:
Recombinant Human Fumarylacetoacetate hydrolase domain-containing protein 2A protein (4-314AA)
Western blot All lanes: FAHD2A antibody at 0.5µg/ml Lane 1: K562 whole cell lysate Lane 2: U87 whole cell lysate Lane 3: A549 whole cell lysate Secondary Goat polyclonal to rabbit IgG at 1/10000 dilution Predicted band size: 35 kDa Observed band size: 35 kDa
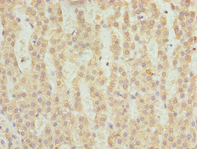
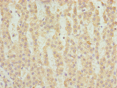
Immunohistochemistry of paraffin-embedded human adrenal gland tissue using PACO38150 at dilution of 1:100