FAM110B Antibody is a premium polyclonal that offers outstanding performance and reliability for demanding research applications. Rigorously validated for ELISA, WB, IHC, this antibody ensures consistent, reproducible results across multiple experimental platforms. Demonstrates excellent reactivity with Human, Mouse samples, providing researchers with confidence in cross-species compatibility. Conveniently packaged in 50ug format to meet your experimental needs. For optimal performance, store at -20°C or -80°C and maintains stability for 12 months. Backed by rigorous quality control testing to ensure superior performance in your critical research applications.
Product Name:
FAM110B Antibody
SKU:
PACO26645
Size:
50μg
Isotype:
IgG
Host Species:
Rabbit
Reactivity:
Human, Mouse
Immunogen:
Recombinant Human Protein FAM110B protein (1-370AA)
Western blot All lanes: Prootein FAM110B antibody at 2µg/ml Lane 1: Mouse sexual gland tissue Lane 2: HepG2 whole cell lysate Lane 3: Mouse spleen tissue Lane 4: A431 whole cell lysate Secondary Goat polyclonal to rabbit IgG at 1/10000 dilution Predicted band size: 41 kDa Observed band size: 41 kDa
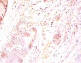
Immunohistochemistry of paraffin-embedded human placenta tissue using PACO26645 at dilution of 1:50
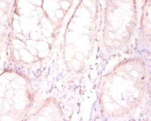
Immunohistochemistry of paraffin-embedded human colon cancer using PACO26645 at dilution of 1:50