FAM151B Antibody is a premium polyclonal that offers outstanding performance and reliability for demanding research applications. Rigorously validated for ELISA, WB, IHC, IF, this antibody ensures consistent, reproducible results across multiple experimental platforms. Demonstrates excellent reactivity with Human, Mouse samples, providing researchers with confidence in cross-species compatibility. Conveniently packaged in 50ug format to meet your experimental needs. For optimal performance, store at -20°C or -80°C and maintains stability for 12 months. Backed by rigorous quality control testing to ensure superior performance in your critical research applications.
Product Name:
FAM151B Antibody
SKU:
PACO36710
Size:
50μg
Isotype:
IgG
Host Species:
Rabbit
Reactivity:
Human, Mouse
Immunogen:
Recombinant Human Protein FAM151B protein (1-276AA)
Western Blot Positive WB detected in: Mouse kidney tissue All lanes: FAM151B antibody at 2.6µg/ml Secondary Goat polyclonal to rabbit IgG at 1/50000 dilution Predicted band size: 32 kDa Observed band size: 32 kDa
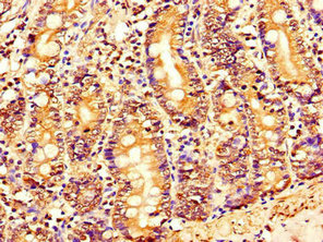
Immunohistochemistry of paraffin-embedded human small intestine tissue using PACO36710 at dilution of 1:100
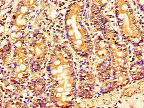
Immunohistochemistry of paraffin-embedded human colon cancer using PACO36710 at dilution of 1:100
Immunofluorescent analysis of HepG2 cells using PACO36710 at dilution of 1:100 and Alexa Fluor 488-congugated AffiniPure Goat Anti-Rabbit IgG(H+L)