FAM161A Antibody is a premium polyclonal that offers outstanding performance and reliability for demanding research applications. Rigorously validated for ELISA, WB, IHC, this antibody ensures consistent, reproducible results across multiple experimental platforms. Demonstrates excellent reactivity with Human, Mouse samples, providing researchers with confidence in cross-species compatibility. Conveniently packaged in 50ug format to meet your experimental needs. For optimal performance, store at -20°C or -80°C and maintains stability for 12 months. Backed by rigorous quality control testing to ensure superior performance in your critical research applications.
Product Name:
FAM161A Antibody
SKU:
PACO35946
Size:
50μg
Isotype:
IgG
Host Species:
Rabbit
Reactivity:
Human, Mouse
Immunogen:
Recombinant Human Protein FAM161A protein (1-300AA)
Immunogen Species:
Homo sapiens (Human)
Uniprot No:
Q3B820
Form:
Liquid
Tested Applications:
ELISAWBIHC
Recommended Dilution:
Application
Recommended Dilution
WB
1:1000-1:5000
IHC
1:20-1:200
Synonyms:
F161A_HUMAN antibody, Fam161a antibody, Family with sequence similarity 161, member A antibody, FLJ13305 antibody, Hypothetical protein LOC84140 antibody, MGC129982 antibody, MGC129983 antibody, OTTHUMP00000201353 antibody, Protein FAM161A antibody
Western blot All lanes: FAM161A antibody at 8µg/ml Lane 1: Human placenta tissue Lane 2: Mouse liver tissue Secondary Goat polyclonal to rabbit IgG at 1/10000 dilution Predicted band size: 77, 65, 84 kDa Observed band size: 77 kDa
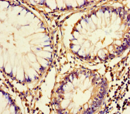
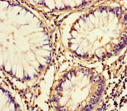
Immunohistochemistry of paraffin-embedded human colon cancer using PACO35946 at dilution of 1:100
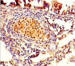
Immunohistochemistry of paraffin-embedded human lung tissue using PACO35946 at dilution of 1:100