FAM20C Antibody is a premium polyclonal that offers outstanding performance and reliability for demanding research applications. Rigorously validated for ELISA, WB, IHC, this antibody ensures consistent, reproducible results across multiple experimental platforms. Demonstrates excellent reactivity with Human samples, providing researchers with confidence in cross-species compatibility. Conveniently packaged in 50ug format to meet your experimental needs. For optimal performance, store at -20°C or -80°C and maintains stability for 12 months. Backed by rigorous quality control testing to ensure superior performance in your critical research applications.
Product Name:
FAM20C Antibody
SKU:
PACO58280
Size:
50μg
Isotype:
IgG
Host Species:
Rabbit
Reactivity:
Human
Immunogen:
Recombinant Human Extracellular serine/threonine protein kinase FAM20C protein (107-224AA)
Immunogen Species:
Homo sapiens (Human)
Uniprot No:
Q8IXL6
Form:
Liquid
Tested Applications:
ELISAWBIHC
Recommended Dilution:
Application
Recommended Dilution
WB
1:500-1:5000
IHC
1:500-1:1000
Synonyms:
C76981 antibody, Dentin matrix protein 4 antibody, DKFZp547C074 antibody, DMP-4 antibody, DMP4 antibody, DMP4_HUMAN antibody, Extracellular serine/threonine protein kinase Fam20C antibody, Fam20c antibody, Family with sequence similarity 20 member C antibody, GEF CK antibody, Golgi enriched fraction casein kinase antibody, Protein FAM20C antibody, RNS antibody
Western Blot Positive WB detected in: HepG2 whole cell lysate All lanes: FAM20C antibody at 4.1µg/ml Secondary Goat polyclonal to rabbit IgG at 1/50000 dilution Predicted band size: 67, 30 kDa Observed band size: 67 kDa
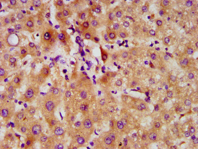
IHC image of PACO58280 diluted at 1:500 and staining in paraffin-embedded human liver tissue performed on a Leica BondTM system. After dewaxing and hydration, antigen retrieval was mediated by high pressure in a citrate buffer (pH 6.0). Section was blocked with 10% normal goat serum 30min at RT. Then primary antibody (1% BSA) was incubated at 4°C overnight. The primary is detected by a biotinylated secondary antibody and visualized using an HRP conjugated SP system.
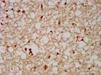
IHC image of PACO58280 diluted at 1:500 and staining in paraffin-embedded human brain tissue performed on a Leica BondTM system. After dewaxing and hydration, antigen retrieval was mediated by high pressure in a citrate buffer (pH 6.0). Section was blocked with 10% normal goat serum 30min at RT. Then primary antibody (1% BSA) was incubated at 4°C overnight. The primary is detected by a biotinylated secondary antibody and visualized using an HRP conjugated SP system.