FAM234B Antibody is a premium polyclonal that offers outstanding performance and reliability for demanding research applications. Rigorously validated for ELISA, WB, IHC, IF, this antibody ensures consistent, reproducible results across multiple experimental platforms. Demonstrates excellent reactivity with Human samples, providing researchers with confidence in cross-species compatibility. Conveniently packaged in 50ug format to meet your experimental needs. For optimal performance, store at -20°C or -80°C and maintains stability for 12 months. Backed by rigorous quality control testing to ensure superior performance in your critical research applications.
Product Name:
FAM234B Antibody
SKU:
PACO27793
Size:
50μg
Isotype:
IgG
Host Species:
Rabbit
Reactivity:
Human
Immunogen:
Recombinant Human Protein FAM234B protein (401-622AA)
Western blot All lanes: FAM234B antibody at 6µg/ml + Human placenta tissue Secondary Goat polyclonal to rabbit IgG at 1/10000 dilution Predicted band size: 68 kDa Observed band size: 68 kDa
Immunofluorescent analysis of Hela cells using PACO27793 at dilution of 1:100 and Alexa Fluor 488-congugated AffiniPure Goat Anti-Rabbit IgG(H+L)
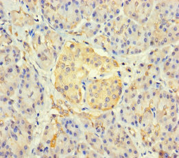
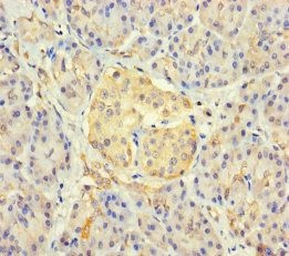
Immunohistochemistry of paraffin-embedded human pancreatic tissue using PACO27793 at dilution of 1:100