The FCGR3B Antibody (CAB7894) is a high-quality antibody developed for reliable detection and analysis of target proteins. This antibody, produced in rabbits, is highly specific to human samples and has been validated for Western blot applications. By binding to the FCGR3B protein, this antibody allows for precise detection and analysis in a variety of cell types, making it essential for studies in immunology and cancer research.FCGR3B, also known as CD16, is involved in the regulation of antibody-dependent cellular cytotoxicity (ADCC) and plays a crucial role in the immune system's ability to target and destroy infected or abnormal cells.
This antibody is validated for use in WB, ELISA applications and has demonstrated reactivity against Human, Mouse, Rat samples.
Product Name:
FCGR3B Antibody
SKU:
CAB7894
Size:
20μL, 100μL
Reactivity:
Human, Mouse, Rat
Conjugate:
Unconjugated
Immunogen:
Recombinant protein (or fragment).This information is considered to be commercially sensitive.
The protein encoded by this gene is a low affinity receptor for the Fc region of gamma immunoglobulins (IgG). The encoded protein acts as a monomer and can bind either monomeric or aggregated IgG. This gene may function to capture immune complexes in the peripheral circulation. Several transcript variants encoding different isoforms have been found for this gene. A highly-similar gene encoding a related protein is also found on chromosome 1.
Purification Method
Affinity purification
Gene ID
2215
RRID
AB_2769443
Buffer Information
Store at -20℃. Avoid freeze / thaw cycles. Buffer: PBS containing 50% glycerol, preserved with proclin300 or sodium azide, pH 7.3.
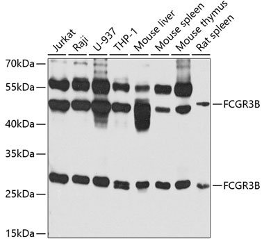
Western blot analysis of various lysates using FCGR3B Rabbit pAb (CAB7894) at 1:1000 dilution._Secondary antibody: HRP-conjugated Goat anti-Rabbit IgG (H+L) (CABS014) at 1:10000 dilution._Lysates/proteins: 25μg per lane._Blocking buffer: 3% nonfat dry milk in TBST._Detection: ECL Enhanced Kit (AbGn00021)._Exposure time: 60s.