The FCHSD1 Antibody (CAB15543) is a high-quality antibody developed for reliable detection and analysis of target proteins. This antibody, raised in rabbits, is highly specific and reacts well with human samples, making it valuable for studying FCHSD1 in Western blot applications. By binding to the FCHSD1 protein, researchers can easily detect and analyze its expression in different cell types, providing insights into its functions in cell biology and potential implications in diseases.
This antibody is validated for use in WB, IHC-P, ELISA applications and has demonstrated reactivity against Human, Mouse, Rat samples.
Product Name:
FCHSD1 Antibody
SKU:
CAB15543
Size:
20μL, 100μL
Reactivity:
Human, Mouse, Rat
Conjugate:
Unconjugated
Immunogen:
Recombinant protein (or fragment).This information is considered to be commercially sensitive.
Predicted to enable lipid binding activity. Predicted to be involved in neuromuscular synaptic transmission and positive regulation of actin filament polymerization. Predicted to be located in cell projection and perikaryon. Predicted to be active in neuromuscular junction and recycling endosome. Predicted to colocalize with cuticular plate.
Purification Method
Affinity purification
Gene ID
89848
RRID
AB_2762945
Buffer Information
Store at -20℃. Avoid freeze / thaw cycles. Buffer: PBS with 0.01% thimerosal,50% glycerol,pH7.3.
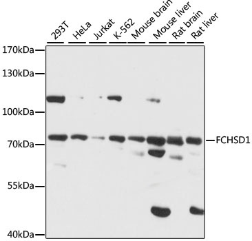
Western blot analysis of various lysates using FCHSD1 Rabbit pAb (CAB15543) at 1:1000 dilution. Secondary antibody: HRP-conjugated Goat anti-Rabbit IgG (H+L) (CABS014) at 1:10000 dilution. Lysates/proteins: 25μg per lane. Blocking buffer: 3% nonfat dry milk in TBST. Detection: ECL Basic Kit (AbGn00020). Exposure time: 15S.
Immunohistochemistry analysis of paraffin-embedded Rat spleen using FCHSD1 Rabbit pAb (CAB15543) at dilution of 1:100 (40x lens). Microwave antigen retrieval performed with 0.01M PBS Buffer (pH 7.2) prior to IHC staining.