The FHL1 Monoclonal Antibody (CAB5018) is a high-quality antibody developed for reliable detection and analysis of target proteins. This antibody, raised in rabbits, is highly specific and reactive with human samples, making it ideal for use in Western blot and immunohistochemistry applications.FHL1, also known as four and a half LIM domains 1, is a crucial regulator of muscle cell differentiation and maintenance. Mutations in the FHL1 gene have been linked to various muscle disorders, making it a key target for research in muscle biology and disease pathology.
This antibody is validated for use in IHC-P, ELISA applications and has demonstrated reactivity against Human samples.
Product Name:
FHL1 Monoclonal Antibody
SKU:
CAB5018
Size:
20μL, 100μL
Reactivity:
Human
Clone Number:
ARC1238
Conjugate:
Unconjugated
Immunogen:
Synthetic peptide. This information is considered to be commercially sensitive.
This gene encodes a member of the four-and-a-half-LIM-only protein family. Family members contain two highly conserved, tandemly arranged, zinc finger domains with four highly conserved cysteines binding a zinc atom in each zinc finger. Expression of these family members occurs in a cell- and tissue-specific mode and these proteins are involved in many cellular processes. Mutations in this gene have been found in patients with Emery-Dreifuss muscular dystrophy. Multiple alternately spliced transcript variants which encode different protein isoforms have been described.
Purification Method
Affinity purification
Gene ID
2273
RRID
AB_2863415
Buffer Information
Store at -20℃. Avoid freeze / thaw cycles. Buffer: PBS containing 50% glycerol and 0.05% BSA, preserved with proclin300 or sodium azide, pH 7.3.
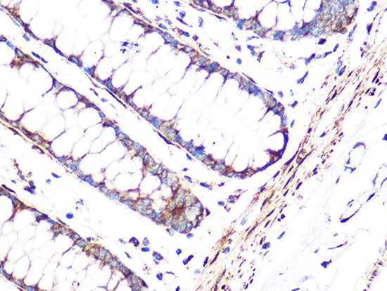
Immunohistochemistry analysis of paraffin-embedded Human colon using FHL1 Rabbit mAb (CAB5018) at dilution of 1:100 (40x lens). Microwave antigen retrieval performed with 0.01M Tris/EDTA Buffer (pH 9.0) prior to IHC staining.