The FLII Antibody (CAB15273) is a high-quality antibody developed for reliable detection and analysis of target proteins. This antibody, produced in rabbits, exhibits high reactivity with human samples and is specifically validated for Western blot applications. By targeting the FLII protein, researchers can detect and analyze its expression in various cell types, providing valuable insights into its function in biological processes.FLII, also known as Flightless-1 homolog, has been implicated in a variety of cellular functions, including cell migration, adhesion, and differentiation.
This antibody is validated for use in WB, IHC-P, ELISA applications and has demonstrated reactivity against Human, Mouse, Rat samples.
Product Name:
FLII Antibody
SKU:
CAB15273
Size:
20μL, 100μL
Reactivity:
Human, Mouse, Rat
Conjugate:
Unconjugated
Immunogen:
Recombinant protein (or fragment).This information is considered to be commercially sensitive.
This gene encodes a protein with a gelsolin-like actin binding domain and an N-terminal leucine-rich repeat-protein protein interaction domain. The protein is similar to a Drosophila protein involved in early embryogenesis and the structural organization of indirect flight muscle. The gene is located within the Smith-Magenis syndrome region on chromosome 17.
Purification Method
Affinity purification
Gene ID
2314
RRID
AB_2762173
Buffer Information
Store at -20℃. Avoid freeze / thaw cycles. Buffer: PBS with 0.01% thimerosal,50% glycerol,pH7.3.
Western blot analysis of various lysates using FLII Rabbit pAb (CAB15273) at 1:1000 dilution. Secondary antibody: HRP-conjugated Goat anti-Rabbit IgG (H+L) (CABS014) at 1:10000 dilution. Lysates/proteins: 25μg per lane. Blocking buffer: 3% nonfat dry milk in TBST. Detection: ECL Basic Kit (AbGn00020). Exposure time: 5S.
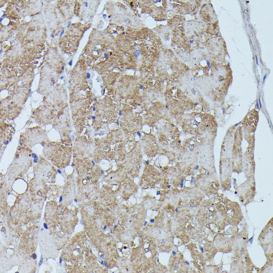
Immunohistochemistry analysis of paraffin-embedded Rat heart using FLII Rabbit pAb (CAB15273) at dilution of 1:100 (40x lens). Microwave antigen retrieval performed with 0.01M PBS Buffer (pH 7.2) prior to IHC staining.
Immunohistochemistry analysis of paraffin-embedded Mouse heart using FLII Rabbit pAb (CAB15273) at dilution of 1:100 (40x lens). Microwave antigen retrieval performed with 0.01M PBS Buffer (pH 7.2) prior to IHC staining.