The FUOM Antibody (PACO25300) is a polyclonal antibody designed for research involving FUOM, a protein that is implicated in a variety of cellular processes. This antibody is raised in rabbits and is highly reactive with human samples, making it an ideal tool for studying FUOM in various cell types. The FUOM Antibody is validated for use in Western blot applications, enabling researchers to detect and analyze FUOM protein levels with high specificity and sensitivity. This makes it a valuable tool for studies in areas such as cell biology, oncology, and molecular biology.
FUOM has been shown to play a role in processes such as cell proliferation, apoptosis, and cell cycle regulation. Dysregulation of FUOM expression has been linked to various diseases, including cancer, making it a promising target for research into novel therapeutic strategies.Overall, the FUOM Antibody provides researchers with a reliable tool for investigating the function and regulation of FUOM in cellular processes and disease contexts. Its high specificity and reactivity with human samples make it a valuable asset for advancing our understanding of FUOM biology.
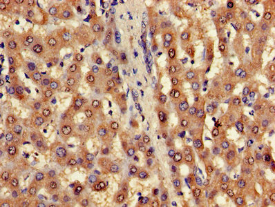
Immunohistochemistry of paraffin-embedded human liver cancer using PACO25300 at dilution of 1:100.
Immunofluorescence staining of HepG2 cells with PACO25300 at 1:140, counter-stained with DAPI. The cells were fixed in 4% formaldehyde, permeabilized using 0.2% Triton X-100 and blocked in 10% normal Goat Serum. The cells were then incubated with the antibody overnight at 4°C. The secondary antibody was Alexa Fluor 488-congugated AffiniPure Goat Anti-Rabbit IgG(H+L).
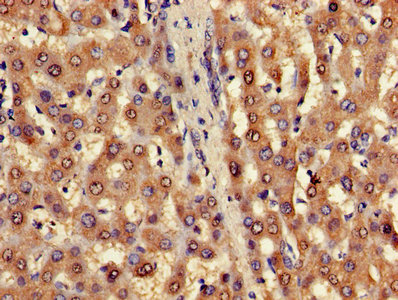
Immunohistochemistry of paraffin-embedded human liver tissue using PACO25300 at dilution of 1:100.
Background:
Involved in the interconversion between alpha- and beta-L-fucoses. L-Fucose (6-deoxy-L-galactose) exists as alpha-L-fucose (29.5%) and beta-L-fucose (70.5%), the beta-form is metabolized through the salvage pathway. GDP-L-fucose formed either by the de novo or salvage pathways is transported into the endoplasmic reticulum, where it serves as a substrate for N- and O-glycosylations by fucosyltransferases. Fucosylated structures expressed on cell surfaces or secreted in biological fluids are believed to play a critical role in cell-cell adhesion and recognition processes.