The GAMT Antibody (CAB6597) is a high-quality antibody developed for reliable detection and analysis of target proteins. This polyclonal antibody, generated in rabbits, has high reactivity with human samples and has been validated for use in Western blotting applications. By binding specifically to the GAMT protein, this antibody enables accurate detection and analysis in a variety of cell types, making it an ideal choice for studies in metabolism, neurobiology, and genetic disorders.GAMT plays a crucial role in the conversion of guanidinoacetate to creatine, a process critical for energy metabolism in cells, particularly in muscle and brain tissues.
This antibody is validated for use in WB, IHC-P, IF/ICC, ELISA applications and has demonstrated reactivity against Human, Mouse, Rat samples.
Product Name:
GAMT Antibody
SKU:
CAB6597
Size:
20μL, 100μL
Reactivity:
Human, Mouse, Rat
Conjugate:
Unconjugated
Immunogen:
Recombinant protein (or fragment).This information is considered to be commercially sensitive.
Recommended starting concentration is 1 μg/mL. Please optimize the concentration based on your specific assay requirements.
Synonyms:
PIG2, CCDS2, TP53I2, HEL-S-20, GAMT
Positive Sample:
HepG2, Jurkat, HeLa, 293T, Mouse liver, Rat liver, Rat brain
Cellular Localization:
Cytoplasm, Cytosol, Nucleus.
Calculated MW:
26kDa
Observed MW:
29kDa
The protein encoded by this gene is a methyltransferase that converts guanidoacetate to creatine, using S-adenosylmethionine as the methyl donor. Defects in this gene have been implicated in neurologic syndromes and muscular hypotonia, probably due to creatine deficiency and accumulation of guanidinoacetate in the brain of affected individuals. Two transcript variants encoding different isoforms have been described for this gene. Pseudogenes of this gene are found on chromosomes 2 and 13.
Purification Method
Affinity purification
Gene ID
2593
RRID
AB_2767188
Buffer Information
Store at -20℃. Avoid freeze / thaw cycles. Buffer: PBS containing 50% glycerol, preserved with proclin300 or sodium azide, pH 7.3.
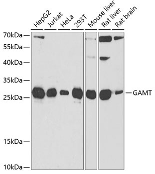
Western blot analysis of various lysates using GAMT Rabbit pAb (CAB6597) at 1:1000 dilution. Secondary antibody: HRP-conjugated Goat anti-Rabbit IgG (H+L) (CABS014) at 1:10000 dilution. Lysates/proteins: 25μg per lane. Blocking buffer: 3% nonfat dry milk in TBST. Detection: ECL Basic Kit (AbGn00020). Exposure time: 90s.
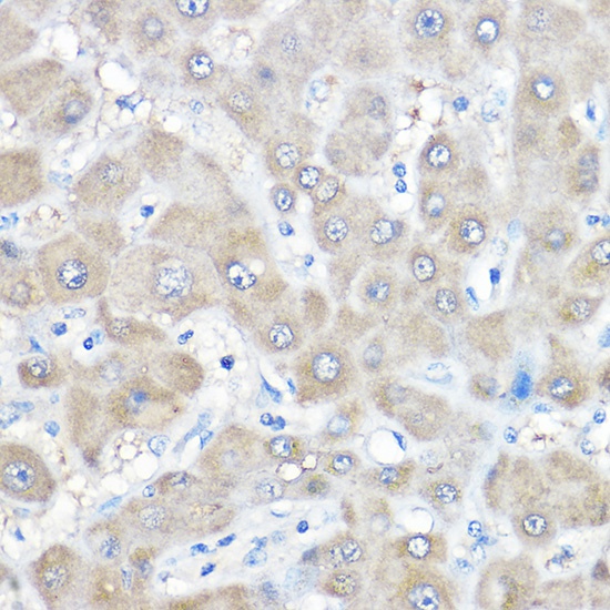
Immunohistochemistry analysis of paraffin-embedded Human liver using GAMT Rabbit pAb (CAB6597) at dilution of 1:500 (40x lens). High pressure antigen retrieval performed with 0.01M Citrate buffer (pH 6.0) prior to IHC staining.
Immunofluorescence analysis of A549 cells using GAMT Rabbit pAb (CAB6597) at dilution of 1:200 (40x lens). Secondary antibody: Cy3-conjugated Goat anti-Rabbit IgG (H+L) (CABS007) at 1:500 dilution. Blue: DAPI for nuclear staining.
Immunofluorescence analysis of C6 cells using GAMT Rabbit pAb (CAB6597) at dilution of 1:200 (40x lens). Secondary antibody: Cy3-conjugated Goat anti-Rabbit IgG (H+L) (CABS007) at 1:500 dilution. Blue: DAPI for nuclear staining.
Immunofluorescence analysis of Hep G2 cells using GAMT Rabbit pAb (CAB6597) at dilution of 1:200 (40x lens). Secondary antibody: Cy3-conjugated Goat anti-Rabbit IgG (H+L) (CABS007) at 1:500 dilution. Blue: DAPI for nuclear staining.
Immunofluorescence analysis of Hep G2 cells using GAMT Rabbit pAb (CAB6597) at dilution of 1:200 (40x lens). Secondary antibody: Cy3-conjugated Goat anti-Rabbit IgG (H+L) (CABS007) at 1:500 dilution. Blue: DAPI for nuclear staining.
Immunofluorescence analysis of NIH-3T3 cells using GAMT Rabbit pAb (CAB6597) at dilution of 1:200 (40x lens). Secondary antibody: Cy3-conjugated Goat anti-Rabbit IgG (H+L) (CABS007) at 1:500 dilution. Blue: DAPI for nuclear staining.
Immunofluorescence analysis of U-2 OS cells using GAMT Rabbit pAb (CAB6597) at dilution of 1:200 (40x lens). Secondary antibody: Cy3-conjugated Goat anti-Rabbit IgG (H+L) (CABS007) at 1:500 dilution. Blue: DAPI for nuclear staining.