GATD3A Antibody is a premium polyclonal that offers outstanding performance and reliability for demanding research applications. Rigorously validated for ELISA, WB, IHC, this antibody ensures consistent, reproducible results across multiple experimental platforms. Demonstrates excellent reactivity with Human samples, providing researchers with confidence in cross-species compatibility. Conveniently packaged in 50ug format to meet your experimental needs. For optimal performance, store at -20°C or -80°C and maintains stability for 12 months. Backed by rigorous quality control testing to ensure superior performance in your critical research applications.
Product Name:
GATD3A Antibody
SKU:
PACO28994
Size:
50μg
Isotype:
IgG
Host Species:
Rabbit
Reactivity:
Human
Immunogen:
Recombinant Human Glutamine amidotransferase-like class 1 domain-containing protein 3A, mitochondrial protein (43-268AA)
Immunogen Species:
Homo sapiens (Human)
Uniprot No:
P0DPI2
Form:
Liquid
Tested Applications:
ELISAWBIHC
Recommended Dilution:
Application
Recommended Dilution
WB
1:500-1:5000
IHC
1:20-1:200
Synonyms:
GATD3, C21orf33, GATD3A, Glutamine amidotransferase-like class 1 domain-containing protein 3, mitochondrial
Western blot All lanes: GATD3A antibody at 2µg/ml Lane 1: EC109 whole cell lysate Lane 2: 293T whole cell lysate Secondary Goat polyclonal to rabbit IgG at 1/15000 dilution Predicted band size: 29, 25 kDa Observed band size: 29 kDa
Immunohistochemistry of paraffin-embedded human glioma using PACO28994 at dilution of 1:100
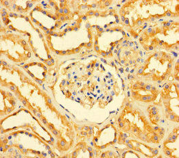
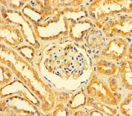
Immunohistochemistry of paraffin-embedded human kidney tissue using PACO28994 at dilution of 1:100