GLT8D1 Antibody is a premium polyclonal that offers outstanding performance and reliability for demanding research applications. Rigorously validated for ELISA, WB, IHC, IF, this antibody ensures consistent, reproducible results across multiple experimental platforms. Demonstrates excellent reactivity with Human, Mouse samples, providing researchers with confidence in cross-species compatibility. Conveniently packaged in 50ug format to meet your experimental needs. For optimal performance, store at -20°C or -80°C and maintains stability for 12 months. Backed by rigorous quality control testing to ensure superior performance in your critical research applications.
Product Name:
GLT8D1 Antibody
SKU:
PACO36342
Size:
50μg
Isotype:
IgG
Host Species:
Rabbit
Reactivity:
Human, Mouse
Immunogen:
Recombinant Human Glycosyltransferase 8 domain-containing protein 1 protein (33-332AA)
Western blot All lanes: GLT8D1 antibody at 10µg/ml + Mouse liver tissue Secondary Goat polyclonal to rabbit IgG at 1/10000 dilution Predicted band size: 42, 29 kDa Observed band size: 42 kDa
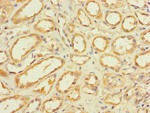
Immunohistochemistry of paraffin-embedded human kidney tissue using PACO36342 at dilution of 1:100
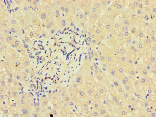
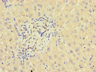
Immunohistochemistry of paraffin-embedded human liver tissue using PACO36342 at dilution of 1:100
Immunofluorescent analysis of HepG2 cells using PACO36342 at dilution of 1:100 and Alexa Fluor 488-congugated AffiniPure Goat Anti-Rabbit IgG(H+L)
Immunofluorescent analysis of PC-3 cells using PACO36342 at dilution of 1:100 and Alexa Fluor 488-congugated AffiniPure Goat Anti-Rabbit IgG(H+L)