The GLRX Antibody (CAB5315) is a high-quality antibody developed for reliable detection and analysis of target proteins. This antibody, raised in rabbits, is highly specific for human samples and has been extensively validated for Western blot applications. By binding to Glutaredoxin-1, this antibody enables accurate detection and analysis of the enzyme in a variety of cell types, making it an essential tool for studies in oxidative stress, cell signaling, and cancer research.
This antibody is validated for use in WB, IHC-P, IF/ICC, ELISA applications and has demonstrated reactivity against Human, Mouse, Rat samples.
Product Name:
GLRX Antibody
SKU:
CAB5315
Size:
20μL, 100μL
Reactivity:
Human, Mouse, Rat
Conjugate:
Unconjugated
Immunogen:
Recombinant protein (or fragment).This information is considered to be commercially sensitive.
Recommended starting concentration is 1 μg/mL. Please optimize the concentration based on your specific assay requirements.
Synonyms:
GRX, GRX1, GLRX
Positive Sample:
SW480, NCI-H460
Cellular Localization:
Cytoplasm.
Calculated MW:
12kDa
Observed MW:
12kDa
This gene encodes a member of the glutaredoxin family. The encoded protein is a cytoplasmic enzyme catalyzing the reversible reduction of glutathione-protein mixed disulfides. This enzyme highly contributes to the antioxidant defense system. It is crucial for several signalling pathways by controlling the S-glutathionylation status of signalling mediators. It is involved in beta-amyloid toxicity and Alzheimer's disease. Multiple alternatively spliced transcript variants encoding the same protein have been identified.
Purification Method
Affinity purification
Gene ID
2745
RRID
AB_2766127
Buffer Information
Store at -20℃. Avoid freeze / thaw cycles. Buffer: PBS with 0.09% Sodium azide,50% glycerol,pH7.3.
Western blot analysis of various lysates using GLRX Rabbit pAb (CAB5315) at 1:1000 dilution. Secondary antibody: HRP-conjugated Goat anti-Rabbit IgG (H+L) (CABS014) at 1:10000 dilution. Lysates/proteins: 25μg per lane. Blocking buffer: 3% nonfat dry milk in TBST.
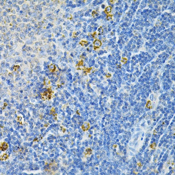
Immunohistochemistry analysis of paraffin-embedded Rat spleen using GLRX Rabbit pAb (CAB5315) at dilution of 1:200 (40x lens). Microwave antigen retrieval performed with 0.01M PBS Buffer (pH 7.2) prior to IHC staining.
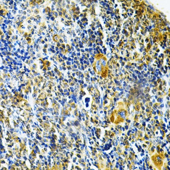
Immunohistochemistry analysis of paraffin-embedded Mouse spleen using GLRX Rabbit pAb (CAB5315) at dilution of 1:200 (40x lens). Microwave antigen retrieval performed with 0.01M PBS Buffer (pH 7.2) prior to IHC staining.
Immunofluorescence analysis of C6 cells using GLRX Rabbit pAb (CAB5315) at dilution of 1:100. Secondary antibody: Cy3-conjugated Goat anti-Rabbit IgG (H+L) (CABS007) at 1:500 dilution. Blue: DAPI for nuclear staining.