The GPN3 Polyclonal Antibody (PACO60717) is specifically designed for research involving GPN3, a crucial protein involved in RNA processing and transport. This antibody, produced in rabbits, is highly specific to human samples and has been validated for use in various applications, including Western blot and immunofluorescence.GPN3 plays a key role in maintaining the integrity of the cell's RNA processing machinery, ensuring proper gene expression and regulation. Dysregulation of GPN3 has been implicated in various diseases, including cancer and neurodegenerative disorders.
By utilizing the GPN3 Polyclonal Antibody, researchers can accurately detect and analyze GPN3 levels in different cell types, facilitating studies in molecular biology and disease mechanisms.Understanding the function of GPN3 is essential for uncovering its potential as a therapeutic target in diseases characterized by RNA processing defects. The GPN3 Polyclonal Antibody offers researchers a reliable tool to investigate the role of GPN3 in health and disease, paving the way for innovative treatments and interventions.
Antibody Name:
GPN3 Antibody (PACO60717)
Antibody SKU:
PACO60717
Size:
50ug
Host Species:
Rabbit
Tested Applications:
ELISA, IHC
Recommended Dilutions:
ELISA:1:2000-1:10000, IHC:1:200-1:500
Species Reactivity:
Human
Immunogen:
Recombinant Human GPN-loop GTPase 3 protein (181-284AA)
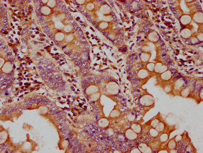
IHC image of PACO60717 diluted at 1:400 and staining in paraffin-embedded human small intestine tissue performed on a Leica BondTM system. After dewaxing and hydration, antigen retrieval was mediated by high pressure in a citrate buffer (pH 6.0). Section was blocked with 10% normal goat serum 30min at RT. Then primary antibody (1% BSA) was incubated at 4°C overnight. The primary is detected by a biotinylated secondary antibody and visualized using an HRP conjugated SP system.
Background:
Small GTPase required for proper localization of RNA polymerase II (RNAPII). May act at an RNAP assembly step prior to nuclear import.
Synonyms:
GPN-loop GTPase 3 (ATP-binding domain 1 family member C), GPN3, ATPBD1C
UniProt Protein Function:
Small GTPase required for proper localization of RNA polymerase II (RNAPII). May act at an RNAP assembly step prior to nuclear import.