The GPX4 Antibody (CAB1933) is a high-quality antibody developed for reliable detection and analysis of target proteins. This antibody, produced in rabbits, exhibits strong reactivity with human samples and is validated for use in Western blot applications.GPX4, also known as glutathione peroxidase 4, is a key player in the regulation of cell survival and death, making it a promising target for studies in cancer biology, neurodegenerative diseases, and metabolic disorders. By binding specifically to the GPX4 protein, this antibody enables precise detection and analysis in a variety of cell types, providing researchers with valuable insights into the function and regulation of GPX4.
This antibody is validated for use in WB, IHC-P, IF/ICC, ELISA applications and has demonstrated reactivity against Human, Mouse, Rat samples.
Product Name:
GPX4 Antibody
SKU:
CAB1933
Size:
20μL, 100μL
Reactivity:
Human, Mouse, Rat
Conjugate:
Unconjugated
Immunogen:
Recombinant protein (or fragment).This information is considered to be commercially sensitive.
The protein encoded by this gene belongs to the glutathione peroxidase family, members of which catalyze the reduction of hydrogen peroxide, organic hydroperoxides and lipid hydroperoxides, and thereby protect cells against oxidative damage. Several isozymes of this gene family exist in vertebrates, which vary in cellular location and substrate specificity. This isozyme has a high preference for lipid hydroperoxides and protects cells against membrane lipid peroxidation and cell death. It is also required for normal sperm development; thus, it has been identified as a 'moonlighting' protein because of its ability to serve dual functions as a peroxidase, as well as a structural protein in mature spermatozoa. Mutations in this gene are associated with Sedaghatian type of spondylometaphyseal dysplasia (SMDS). This isozyme is also a selenoprotein, containing the rare amino acid selenocysteine (Sec) at its active site. Sec is encoded by the UGA codon, which normally signals translation termination. The 3' UTRs of selenoprotein mRNAs contain a conserved stem-loop structure, designated the Sec insertion sequence (SECIS) element, that is necessary for the recognition of UGA as a Sec codon, rather than as a stop signal. Transcript variants resulting from alternative splicing or use of alternate promoters have been described to encode isoforms with different subcellular localization.
Purification Method
Affinity purification
Gene ID
2879
RRID
AB_2763960
Buffer Information
Store at -20℃. Avoid freeze / thaw cycles. Buffer: PBS with 0.09% Sodium azide,50% glycerol,pH7.3.
Western blot analysis of various lysates using [KD Validated] GPX4 Rabbit pAb (CAB1933) at 1:15000 dilution incubated overnight at 4℃. Secondary antibody: HRP-conjugated Goat anti-Rabbit IgG (H+L) (CABS014) at 1:10000 dilution. Lysates/proteins: 25 μg per lane. Blocking buffer: 3% nonfat dry milk in TBST. Detection: ECL Basic Kit (AbGn00020). Exposure time: 10s.
Western blot analysis of lysates from wild type (WT) and GPX4 knockdown (KD) U-87 MG cells using [KD Validated] GPX4 Rabbit pAb (CAB1933) at 1:15000 dilution incubated overnight at 4℃. Secondary antibody: HRP-conjugated Goat anti-Rabbit IgG (H+L) (CABS014) at 1:10000 dilution. Lysates/proteins: 25 μg per lane. Blocking buffer: 3% nonfat dry milk in TBST. Detection: ECL Basic Kit (AbGn00020). Exposure time: 10s.
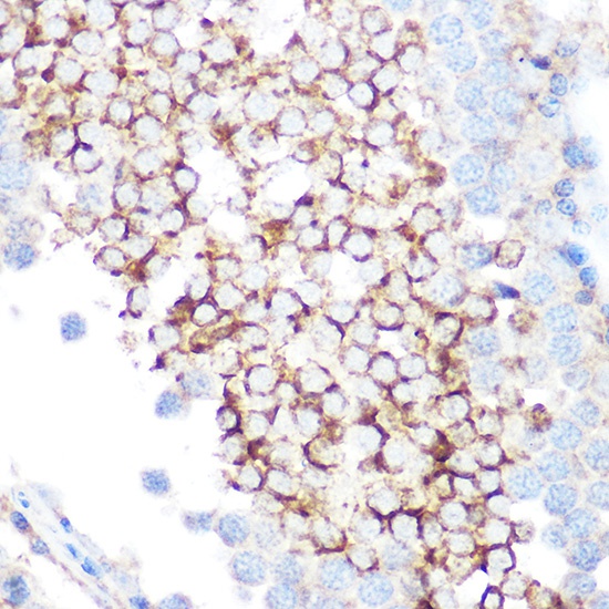
Immunohistochemistry analysis of paraffin-embedded Mouse testis tissue using GPX4 Rabbit pAb (CAB1933) at a dilution of 1:100 (40x lens). Microwave antigen retrieval was performed with 0.01 M Tris-EDTA repair solution (pH 9.0) prior to IHC staining.
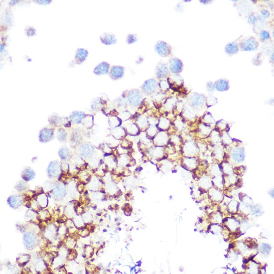
Immunohistochemistry analysis of paraffin-embedded Rat testis tissue using GPX4 Rabbit pAb (CAB1933) at a dilution of 1:100 (40x lens). Microwave antigen retrieval was performed with 0.01 M Tris-EDTA repair solution (pH 9.0) prior to IHC staining.