The GST3/GSTP1 Monoclonal Antibody (CAB19061) is a high-quality antibody developed for reliable detection and analysis of target proteins. This antibody, generated in rabbits, shows high reactivity with human samples and is validated for use in Western blot applications.GST3 and GSTP1 are enzymes involved in the detoxification of electrophilic compounds and oxidative stress response. They play important roles in protecting cells from damage and maintaining cellular homeostasis. The GST3/GSTP1 Rabbit Monoclonal Antibody binds specifically to these proteins, allowing for their detection and analysis in a variety of cell types.
This antibody is validated for use in WB, IHC-P, ELISA applications and has demonstrated reactivity against Human, Mouse, Rat samples.
Product Name:
GST3/GSTP1 Monoclonal Antibody
SKU:
CAB19061
Size:
20μL, 100μL
Reactivity:
Human, Mouse, Rat
Clone Number:
ARC0439
Conjugate:
Unconjugated
Immunogen:
Recombinant protein (or fragment).This information is considered to be commercially sensitive.
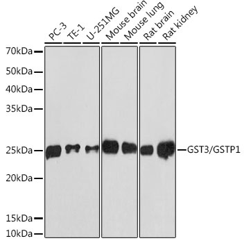
PC-3, TE-1, U-251MG, Mouse brain, Mouse lung, Rat brain, Rat kidney
Cellular Localization:
Cytoplasm, Mitochondrion, Nucleus.
Calculated MW:
23kDa
Observed MW:
25kDa
Glutathione S-transferases (GSTs) are a family of enzymes that play an important role in detoxification by catalyzing the conjugation of many hydrophobic and electrophilic compounds with reduced glutathione. Based on their biochemical, immunologic, and structural properties, the soluble GSTs are categorized into 4 main classes: alpha, mu, pi, and theta. This GST family member is a polymorphic gene encoding active, functionally different GSTP1 variant proteins that are thought to function in xenobiotic metabolism and play a role in susceptibility to cancer, and other diseases.
Purification Method
Affinity purification
Gene ID
2950
RRID
AB_2862554
Buffer Information
Store at -20℃. Avoid freeze / thaw cycles. Buffer: PBS containing 50% glycerol and 0.05% BSA, preserved with proclin300 or sodium azide, pH 7.3.
Western blot analysis of various lysates using GST3/GSTP1 Rabbit mAb (CAB19061) at 1:1000 dilution. Secondary antibody: HRP-conjugated Goat anti-Rabbit IgG (H+L) (CABS014) at 1:10000 dilution. Lysates/proteins: 25μg per lane. Blocking buffer: 3% nonfat dry milk in TBST. Detection: ECL Basic Kit (AbGn00020). Exposure time: 3min.
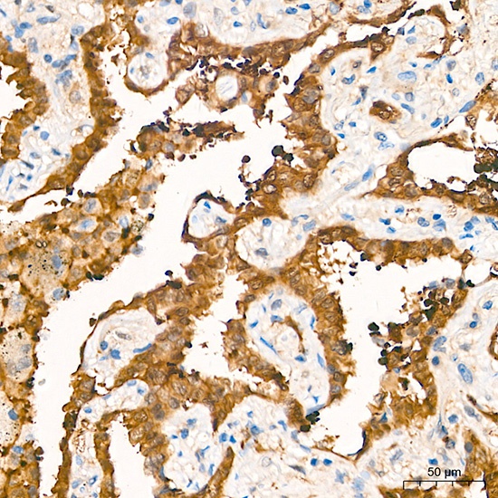
Immunohistochemistry analysis of paraffin-embedded Human lung adenocarcinoma tissue using GST3/GSTP1 Rabbit mAb (CAB19061) at a dilution of 1:1600 (40x lens). High pressure antigen retrieval performed with 0.01M Tris-EDTA Buffer (pH 9.0) prior to IHC staining.