The Haptoglobin (HP) Antibody (CAB1571) is a high-quality antibody developed for reliable detection and analysis of target proteins. This antibody, produced in rabbits, has been extensively validated for use in Western blot applications and is highly reactive with human samples.Haptoglobin is an important marker of inflammation and is implicated in various diseases such as cancer, cardiovascular disease, and autoimmune disorders. By using this antibody, researchers can detect and analyze haptoglobin in a variety of cell types, shedding light on its role in immune regulation and disease progression.
This antibody is validated for use in WB, IHC-P, ELISA applications and has demonstrated reactivity against Human, Mouse, Rat samples.
Product Name:
Haptoglobin (HP) Antibody
SKU:
CAB1571
Size:
20μL, 100μL
Reactivity:
Human, Mouse, Rat
Conjugate:
Unconjugated
Immunogen:
Synthetic peptide. This information is considered to be commercially sensitive.
Recommended starting concentration is 1 μg/mL. Please optimize the concentration based on your specific assay requirements.
Synonyms:
BP, HPA1S, HP2ALPHA2, Haptoglobin (HP)
Positive Sample:
HepG2, MCF7, HL-60, Mouse liver, Mouse lung, Mouse spleen, Rat lung, Rat spleen
Cellular Localization:
Secreted.
Calculated MW:
45kDa
Observed MW:
45kDa
This gene encodes a preproprotein, which is processed to yield both alpha and beta chains, which subsequently combine as a tetramer to produce haptoglobin. Haptoglobin functions to bind free plasma hemoglobin, which allows degradative enzymes to gain access to the hemoglobin, while at the same time preventing loss of iron through the kidneys and protecting the kidneys from damage by hemoglobin. Mutations in this gene and/or its regulatory regions cause ahaptoglobinemia or hypohaptoglobinemia. This gene has also been linked to diabetic nephropathy, the incidence of coronary artery disease in type 1 diabetes, Crohn's disease, inflammatory disease behavior, primary sclerosing cholangitis, susceptibility to idiopathic Parkinson's disease, and a reduced incidence of Plasmodium falciparum malaria. The protein encoded also exhibits antimicrobial activity against bacteria. A similar duplicated gene is located next to this gene on chromosome 16. Multiple transcript variants encoding different isoforms have been found for this gene.
Purification Method
Affinity purification
Gene ID
3240
RRID
AB_2763122
Buffer Information
Store at -20℃. Avoid freeze / thaw cycles. Buffer: PBS containing 50% glycerol, preserved with proclin300 or sodium azide, pH 7.3.
Western blot analysis of various lysates using Haptoglobin (HP) Rabbit pAb (CAB1571) at 1:1000 dilution._Secondary antibody: HRP-conjugated Goat anti-Rabbit IgG (H+L) (CABS014) at 1:10000 dilution._Lysates/proteins: 25μg per lane._Blocking buffer: 3% nonfat dry milk in TBST._Detection: ECL Enhanced Kit (AbGn00021)._Exposure time: 90s.
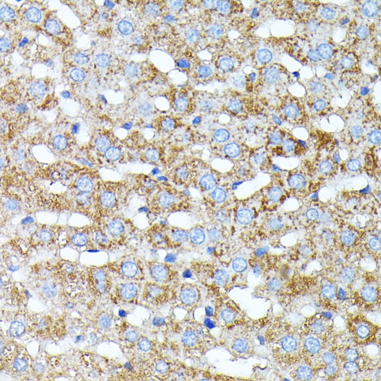
Immunohistochemistry analysis of paraffin-embedded Rat liver using Haptoglobin (HP) Rabbit pAb (CAB1571) at dilution of 1:100 (40x lens). Microwave antigen retrieval performed with 0.01M PBS Buffer (pH 7.2) prior to IHC staining.
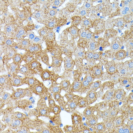
Immunohistochemistry analysis of paraffin-embedded Mouse liver using Haptoglobin (HP) Rabbit pAb (CAB1571) at dilution of 1:100 (40x lens). Microwave antigen retrieval performed with 0.01M PBS Buffer (pH 7.2) prior to IHC staining.