HDDC3 Antibody is a premium polyclonal that offers outstanding performance and reliability for demanding research applications. Rigorously validated for ELISA, WB, IHC, this antibody ensures consistent, reproducible results across multiple experimental platforms. Demonstrates excellent reactivity with Human, Mouse samples, providing researchers with confidence in cross-species compatibility. Conveniently packaged in 50ug format to meet your experimental needs. For optimal performance, store at -20°C or -80°C and maintains stability for 12 months. Backed by rigorous quality control testing to ensure superior performance in your critical research applications.
Product Name:
HDDC3 Antibody
SKU:
PACO38538
Size:
50μg
Isotype:
IgG
Host Species:
Rabbit
Reactivity:
Human, Mouse
Immunogen:
Recombinant Human Guanosine-3\',5\'-bis(diphosphate) 3\'-pyrophosphohydrolase MESH1 protein (2-140AA)
Immunogen Species:
Homo sapiens (Human)
Uniprot No:
Q8N4P3
Form:
Liquid
Tested Applications:
ELISAWBIHC
Recommended Dilution:
Application
Recommended Dilution
WB
1:1000-1:5000
IHC
1:20-1:200
Synonyms:
(ppGpp)ase antibody, 5''-bis(diphosphate) 3''-pyrophosphohydrolase MESH1 antibody, Guanosine-3'' antibody, HD domain containing 3 antibody, HD domain containing protein 3 antibody, HD domain-containing protein 3 antibody, HDDC 3 antibody, Hddc3 antibody, MESH1 antibody, MESH1_HUMAN antibody, Metazoan SpoT homolog 1 antibody, MGC45386 antibody, Penta-phosphate guanosine-3''-pyrophosphohydrolase antibody
Western blot All lanes: HDDC3 antibody at 2µg/ml + Mouse heart tissue Secondary Goat polyclonal to rabbit IgG at 1/10000 dilution Predicted band size: 21, 16 kDa Observed band size: 21 kDa
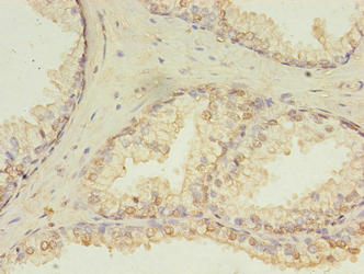
Immunohistochemistry of paraffin-embedded human prostate cancer using PACO38538 at dilution of 1:100
Western Blot Positive WB detected in: 293 whole cell lysate, K562 whole cell lysate All lanes: HDDC3 antibody at 1:2000 Secondary Goat polyclonal to rabbit IgG at 1/50000 dilution Predicted band size: 21, 16 kDa Observed band size: 21 kDa