Description
HECTD2 Antibody (PACO58188)
The HECTD2 Polyclonal Antibody (PACO58188) is a valuable tool for researchers studying HECTD2, a protein involved in ubiquitin-mediated protein degradation. This antibody, produced in rabbits, exhibits high reactivity with human samples and has been validated for use in Western blot applications. By targeting the HECTD2 protein, this antibody enables the detection and analysis of HECTD2 in various cell types, making it an essential resource for studies in cell biology and protein degradation pathways.HECTD2 is a HECT domain-containing E3 ubiquitin ligase that plays a crucial role in regulating protein turnover and maintaining cellular homeostasis.
Dysregulation of HECTD2 has been implicated in various diseases, including cancer and neurodegenerative disorders, making it a promising therapeutic target for drug development efforts. By exploring the functions of HECTD2, researchers can gain insights into the mechanisms underlying disease pathogenesis and identify novel therapeutic strategies aimed at modulating protein degradation processes.
| Antibody Name: | HECTD2 Antibody (PACO58188) |
| Antibody SKU: | PACO58188 |
| Size: | 50ug |
| Host Species: | Rabbit |
| Tested Applications: | ELISA, IHC, IF |
| Recommended Dilutions: | ELISA:1:2000-1:10000, IHC:1:200-1:500, IF:1:50-1:200 |
| Species Reactivity: | Human |
| Immunogen: | Recombinant Human Probable E3 ubiquitin-protein ligase HECTD2 protein (674-776AA) |
| Form: | Liquid |
| Storage Buffer: | Preservative: 0.03% Proclin 300 Constituents: 50% Glycerol, 0.01M PBS, pH 7.4 |
| Purification Method: | >95%, Protein G purified |
| Clonality: | Polyclonal |
| Isotype: | IgG |
| Conjugate: | Non-conjugated |
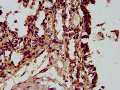
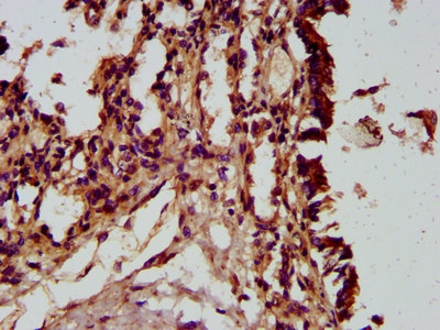
![]() | IHC image of PACO58188 diluted at 1:300 and staining in paraffin-embedded human lung tissue performed on a Leica BondTM system. After dewaxing and hydration, antigen retrieval was mediated by high pressure in a citrate buffer (pH 6.0). Section was blocked with 10% normal goat serum 30min at RT. Then primary antibody (1% BSA) was incubated at 4°C overnight. The primary is detected by a biotinylated secondary antibody and visualized using an HRP conjugated SP system. |
![]() | Immunofluorescence staining of Hela cells with PACO58188 at 1:100, counter-stained with DAPI. The cells were fixed in 4% formaldehyde, permeabilized using 0.2% Triton X-100 and blocked in 10% normal Goat Serum. The cells were then incubated with the antibody overnight at 4°C. The secondary antibody was Alexa Fluor 488-congugated AffiniPure Goat Anti-Rabbit IgG(H+L). |
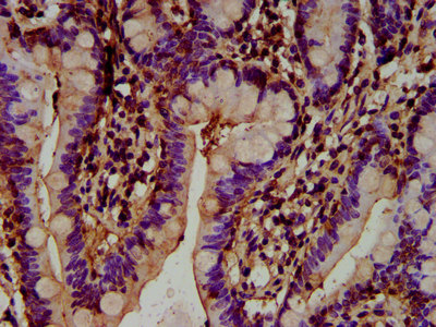
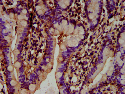
![]() | IHC image of PACO58188 diluted at 1:300 and staining in paraffin-embedded human small intestine tissue performed on a Leica BondTM system. After dewaxing and hydration, antigen retrieval was mediated by high pressure in a citrate buffer (pH 6.0). Section was blocked with 10% normal goat serum 30min at RT. Then primary antibody (1% BSA) was incubated at 4°C overnight. The primary is detected by a biotinylated secondary antibody and visualized using an HRP conjugated SP system. |
| Background: | Probable E3 ubiquitin-protein ligase which accepts ubiquitin from an E2 ubiquitin-conjugating enzyme in the form of a thioester and then directly transfers the ubiquitin to targeted substrates. |
| Synonyms: | Probable E3 ubiquitin-protein ligase HECTD2 (EC 2.3.2.26) (HECT domain-containing protein 2) (HECT-type E3 ubiquitin transferase HECTD2), HECTD2 |
| UniProt Protein Function: | HECTD2: Probable E3 ubiquitin-protein ligase which accepts ubiquitin from an E2 ubiquitin-conjugating enzyme in the form of a thioester and then directly transfers the ubiquitin to targeted substrates. |
| UniProt Protein Details: | Protein type:Ubiquitin conjugating system; EC 6.3.2.19; EC 6.3.2.-; Ubiquitin ligase; Ligase Chromosomal Location of Human Ortholog: 10q23.32 Cellular Component: cytoplasm; cytosol; nucleus Molecular Function:ubiquitin-protein ligase activity Biological Process: protein polyubiquitination; protein ubiquitination during ubiquitin-dependent protein catabolic process |
| UniProt Code: | Q5U5R9 |
| NCBI GenInfo Identifier: | 109892196 |
| NCBI Gene ID: | 143279 |
| NCBI Accession: | Q5U5R9.2 |
| UniProt Secondary Accession: | Q5U5R9,Q5VZ97, Q5VZ98, Q5VZ99, Q8N1X7, Q8TCP5, |
| UniProt Related Accession: | Q5U5R9 |
| Molecular Weight: | 22,360 Da |
| NCBI Full Name: | Probable E3 ubiquitin-protein ligase HECTD2 |
| NCBI Synonym Full Names: | HECT domain E3 ubiquitin protein ligase 2 |
| NCBI Official Symbol: | HECTD2Â Â |
| NCBI Protein Information: | probable E3 ubiquitin-protein ligase HECTD2 |
| UniProt Protein Name: | Probable E3 ubiquitin-protein ligase HECTD2 |
| UniProt Synonym Protein Names: | HECT domain-containing protein 2 |
| Protein Family: | Probable E3 ubiquitin-protein ligase |
| UniProt Gene Name: | HECTD2Â Â |
| UniProt Entry Name: | HECD2_HUMAN |


