The HIBADH Polyclonal Antibody (CAB21349) is a high-quality antibody developed for reliable detection and analysis of target proteins. This antibody, generated in rabbits, exhibits high reactivity with human samples and is validated for use in various applications including Western blot. By binding specifically to the HIBADH protein, this antibody enables accurate detection and analysis in a variety of cell types, making it an ideal choice for studies related to lipid metabolism, mitochondrial function, and metabolic diseases.HIBADH, also known as 3-hydroxyisobutyrate dehydrogenase, is a key enzyme involved in the degradation of valine, a branched-chain amino acid.
This antibody is validated for use in WB, IHC-P, IF/ICC, ELISA applications and has demonstrated reactivity against Human, Mouse, Rat samples.
Product Name:
HIBADH Polyclonal Antibody
SKU:
CAB21349
Size:
20μL, 100μL
Reactivity:
Human, Mouse, Rat
Conjugate:
Unconjugated
Immunogen:
Recombinant protein (or fragment).This information is considered to be commercially sensitive.
Recommended starting concentration is 1 μg/mL. Please optimize the concentration based on your specific assay requirements.
Synonyms:
NS5ATP1, HIBADH
Positive Sample:
HepG2, 293T, Mouse brain, Mouse heart, Rat heart
Cellular Localization:
Mitochondrion.
Calculated MW:
35kDa
Observed MW:
35kDa
This gene encodes a mitochondrial 3-hydroxyisobutyrate dehydrogenase enzyme. The encoded protein plays a critical role in the catabolism of L-valine by catalyzing the oxidation of 3-hydroxyisobutyrate to methylmalonate semialdehyde.
Purification Method
Affinity purification
Gene ID
11112
Buffer Information
Store at -20℃. Avoid freeze / thaw cycles. Buffer: PBS containing 50% glycerol, preserved with proclin300 or sodium azide, pH 7.3.
Western blot analysis of various lysates, using HIBADH Rabbit pAb (CAB21349) at 1:2000 dilution. Secondary antibody: HRP-conjugated Goat anti-Rabbit IgG (H+L) (CABS014) at 1:10000 dilution. Lysates/proteins: 25μg per lane. Blocking buffer: 3% nonfat dry milk in TBST. Detection: ECL Basic Kit (AbGn00020). Exposure time: 30s.
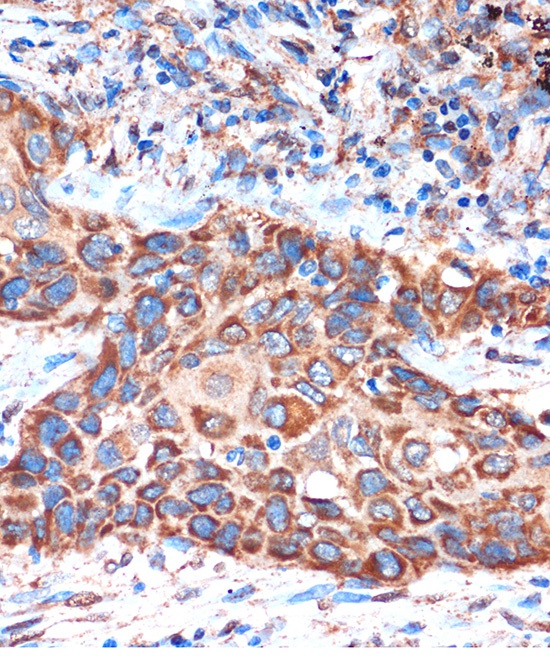
Immunohistochemistry analysis of paraffin-embedded Human lung cancer using HIBADH Rabbit pAb (CAB21349) at dilution of 1:100 (40x lens). Microwave antigen retrieval performed with 0.01M PBS Buffer (pH 7.2) prior to IHC staining.
Immunofluorescence analysis of C6 cells using HIBADH Rabbit pAb (CAB21349) at dilution of 1:100. Secondary antibody: Cy3-conjugated Goat anti-Rabbit IgG (H+L) (CABS007) at 1:500 dilution. Blue: DAPI for nuclear staining.
Immunofluorescence analysis of L929 cells using HIBADH Rabbit pAb (CAB21349) at dilution of 1:100. Secondary antibody: Cy3-conjugated Goat anti-Rabbit IgG (H+L) (CABS007) at 1:500 dilution. Blue: DAPI for nuclear staining.