The HNRNPR Polyclonal Antibody (CAB21321) is a high-quality antibody developed for reliable detection and analysis of target proteins. This antibody, generated in rabbits, is highly specific for human samples and is validated for use in techniques such as Western blotting.The hnRNP R protein is involved in various cellular processes, including mRNA splicing, transport, and stability. Its aberrant expression has been linked to diseases such as cancer, neurological disorders, and viral infections.
This antibody is validated for use in WB, IHC-P, IF/ICC, ELISA applications and has demonstrated reactivity against Human, Mouse, Rat samples.
Product Name:
HNRNPR Polyclonal Antibody
SKU:
CAB21321
Size:
20μL, 100μL
Reactivity:
Human, Mouse, Rat
Conjugate:
Unconjugated
Immunogen:
Synthetic peptide. This information is considered to be commercially sensitive.
Recommended starting concentration is 1 μg/mL. Please optimize the concentration based on your specific assay requirements.
Synonyms:
HNRPR, NEDDFSB, hnRNP-R, HNRNPR
Cellular Localization:
Cytoplasm, Nucleus, Nucleoplasm.
Calculated MW:
71kDa
Observed MW:
Refertofigures
This gene encodes an RNA-binding protein that is a member of the spliceosome C complex, which functions in pre-mRNA processing and transport. The encoded protein also promotes transcription at the c-fos gene. Alternative splicing results in multiple transcript variants. There are pseudogenes for this gene on chromosomes 4, 11, and 10.
Purification Method
Affinity purification
Gene ID
10236
Buffer Information
Store at -20℃. Avoid freeze / thaw cycles. Buffer: PBS containing 50% glycerol, preserved with proclin300 or sodium azide, pH 7.3.
Western blot analysis of various lysates using HNRNPR Rabbit pAb (CAB21321) at 1:1000 dilution. Secondary antibody: HRP-conjugated Goat anti-Rabbit IgG (H+L) (CABS014) at 1:10000 dilution. Lysates/proteins: 25μg per lane. Blocking buffer: 3% nonfat dry milk in TBST. Detection: ECL Basic Kit (AbGn00020). Exposure time: 1s.
Immunohistochemistry analysis of paraffin-embedded Rat heart using HNRNPR Rabbit pAb (CAB21321) at dilution of 1:100 (40x lens). Microwave antigen retrieval performed with 0.01M PBS Buffer (pH 7.2) prior to IHC staining.
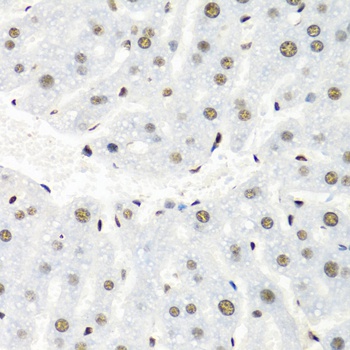
Immunohistochemistry analysis of paraffin-embedded Mouse liver using HNRNPR Rabbit pAb (CAB21321) at dilution of 1:100 (40x lens). Microwave antigen retrieval performed with 0.01M PBS Buffer (pH 7.2) prior to IHC staining.
Immunofluorescence analysis of U2OS cells using HNRNPR Rabbit pAb (CAB21321) at dilution of 1:100. Secondary antibody: Cy3-conjugated Goat anti-Rabbit IgG (H+L) (CABS007) at 1:500 dilution. Blue: DAPI for nuclear staining.