The HSP47/SERPINH1 Monoclonal Antibody (CAB11698) is a high-quality antibody developed for reliable detection and analysis of target proteins. This antibody, produced using rabbit monoclonal technology, has high specificity and sensitivity for detecting HSP47 in human samples, making it a valuable asset for Western blot applications.HSP47 is essential for the proper folding and secretion of collagen, a critical component of the extracellular matrix that provides structural support to tissues and organs. Dysregulation of HSP47 has been implicated in various diseases, including fibrosis and cancer, making it a promising target for therapeutic interventions.
This antibody is validated for use in WB, IHC-P, IF/ICC, ELISA applications and has demonstrated reactivity against Human, Mouse samples.
Product Name:
HSP47/SERPINH1 Monoclonal Antibody
SKU:
CAB11698
Size:
20μL, 100μL
Reactivity:
Human, Mouse
Clone Number:
ARC0681
Conjugate:
Unconjugated
Immunogen:
Synthetic peptide. This information is considered to be commercially sensitive.
This gene encodes a member of the serpin superfamily of serine proteinase inhibitors. The encoded protein is localized to the endoplasmic reticulum and plays a role in collagen biosynthesis as a collagen-specific molecular chaperone. Autoantibodies to the encoded protein have been found in patients with rheumatoid arthritis. Expression of this gene may be a marker for cancer, and nucleotide polymorphisms in this gene may be associated with preterm birth caused by preterm premature rupture of membranes. Alternatively spliced transcript variants have been observed for this gene, and a pseudogene of this gene is located on the short arm of chromosome 9.
Purification Method
Affinity purification
Gene ID
871
RRID
AB_2861633
Buffer Information
Store at -20℃. Avoid freeze / thaw cycles. Buffer: PBS containing 50% glycerol and 0.05% BSA, preserved with proclin300 or sodium azide, pH 7.3.
Western blot analysis of various lysates using HSP47/SERPINH1 Rabbit mAb (CAB11698) at 1:1000 dilution. Secondary antibody: HRP-conjugated Goat anti-Rabbit IgG (H+L) (CABS014) at 1:10000 dilution. Lysates/proteins: 25μg per lane. Blocking buffer: 3% nonfat dry milk in TBST. Detection: ECL Basic Kit (AbGn00020). Exposure time: 3min.
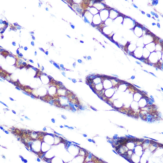
Immunohistochemistry analysis of paraffin-embedded Human colon using HSP47/SERPINH1 Rabbit mAb (CAB11698) at dilution of 1:100 (40x lens). Microwave antigen retrieval performed with 0.01M PBS Buffer (pH 7.2) prior to IHC staining.
Confocal imaging of NIH/3T3 cells using HSP47/SERPINH1 Rabbit mAb (CAB11698,dilution 1:100) followed by a further incubation with Cy3 Goat Anti-Rabbit IgG (H+L) (CABS007,dilution 1:500)(Red).The cells were counterstained with α-Tubulin Mouse mAb (AC012, dilution 1:400) followed by incubation with ABflo® 488-conjugated Goat Anti-Mouse IgG (H+L) Ab (CABS076, dilution 1:500) (Green).DAPI was used for nuclear staining (Blue). Objective: 100x.