The HSPA14 Antibody (CAB7107) is a high-quality antibody developed for reliable detection and analysis of target proteins. This antibody, generated in rabbits, is highly specific for human samples and has been validated for use in Western blot analysis.HSPA14 is a member of the heat shock protein family, known for their essential functions in maintaining protein homeostasis under stressful conditions. HSPA14, in particular, has been implicated in various cellular processes, including protein quality control and chaperone activity.
This antibody is validated for use in WB, ELISA applications and has demonstrated reactivity against Human, Mouse samples.
Product Name:
HSPA14 Antibody
SKU:
CAB7107
Size:
20μL, 100μL
Reactivity:
Human, Mouse
Conjugate:
Unconjugated
Immunogen:
Recombinant protein (or fragment).This information is considered to be commercially sensitive.
Predicted to enable several functions, including ATP binding activity; misfolded protein binding activity; and unfolded protein binding activity. Predicted to be involved in several processes, including cellular response to unfolded protein; chaperone cofactor-dependent protein refolding; and protein refolding. Located in cytosol. Colocalizes with ribosome.
Purification Method
Affinity purification
Gene ID
51182
RRID
AB_2767662
Buffer Information
Store at -20℃. Avoid freeze / thaw cycles. Buffer: PBS containing 50% glycerol, preserved with proclin300 or sodium azide, pH 7.3.
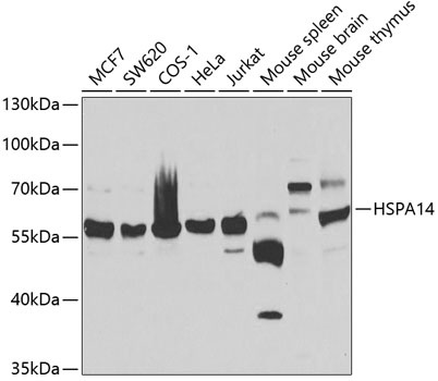
Western blot analysis of various lysates using HSPA14 Rabbit pAb (CAB7107) at 1:1000 dilution. Secondary antibody: HRP-conjugated Goat anti-Rabbit IgG (H+L) (CABS014) at 1:10000 dilution. Lysates/proteins: 25μg per lane. Blocking buffer: 3% nonfat dry milk in TBST. Detection: ECL Basic Kit (AbGn00020). Exposure time: 10s.