The HSP105/HSPH1 Antibody (CAB6622) is a high-quality antibody developed for reliable detection and analysis of target proteins. This antibody, generated in rabbits, has been shown to react specifically with human samples and is suitable for use in Western blot applications. By targeting the Hsph1 protein, this antibody allows for the detection and analysis of Hsph1 in various cell types, making it an ideal choice for studies related to cellular stress, protein folding, and proteostasis.Hsph1, also known as heat shock protein family H (Hsp110) member 1, is a chaperone protein that assists in the folding and unfolding of other proteins under stress conditions.
This antibody is validated for use in WB, IHC-P, ELISA applications and has demonstrated reactivity against Human, Mouse, Rat samples.
Product Name:
HSP105/HSPH1 Antibody
SKU:
CAB6622
Size:
20μL, 100μL
Reactivity:
Human, Mouse, Rat
Conjugate:
Unconjugated
Immunogen:
Recombinant protein (or fragment).This information is considered to be commercially sensitive.
This gene encodes a member of the heat shock protein 70 family of proteins. The encoded protein functions as a nucleotide exchange factor for the molecular chaperone heat shock cognate 71 kDa protein (Hsc70). In addition, this protein plays a distinct but related role as a holdase that inhibits the aggregation of misfolded proteins, including the cystic fibrosis transmembrane conductance regulator (CFTR) protein. Elevated expression of this protein has been observed in numerous human cancers.
Purification Method
Affinity purification
Gene ID
10808
RRID
AB_2767211
Buffer Information
Store at -20℃. Avoid freeze / thaw cycles. Buffer: PBS containing 50% glycerol, preserved with proclin300 or sodium azide, pH 7.3.
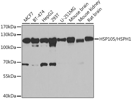
Western blot analysis of various lysates using HSP105/HSPH1 Rabbit pAb (CAB6622) at 1:1000 dilution. Secondary antibody: HRP-conjugated Goat anti-Rabbit IgG (H+L) (CABS014) at 1:10000 dilution. Lysates/proteins: 25μg per lane. Blocking buffer: 3% nonfat dry milk in TBST. Detection: ECL Basic Kit (AbGn00020). Exposure time: 1s.
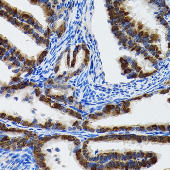
Immunohistochemistry analysis of paraffin-embedded Rat fallopian tube using HSP105/HSPH1 Rabbit pAb (CAB6622) at dilution of 1:100 (40x lens). Microwave antigen retrieval performed with 0.01M PBS Buffer (pH 7.2) prior to IHC staining.
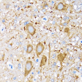
Immunohistochemistry analysis of paraffin-embedded Mouse spinal cord using HSP105/HSPH1 Rabbit pAb (CAB6622) at dilution of 1:100 (40x lens). Microwave antigen retrieval performed with 0.01M PBS Buffer (pH 7.2) prior to IHC staining.