Description
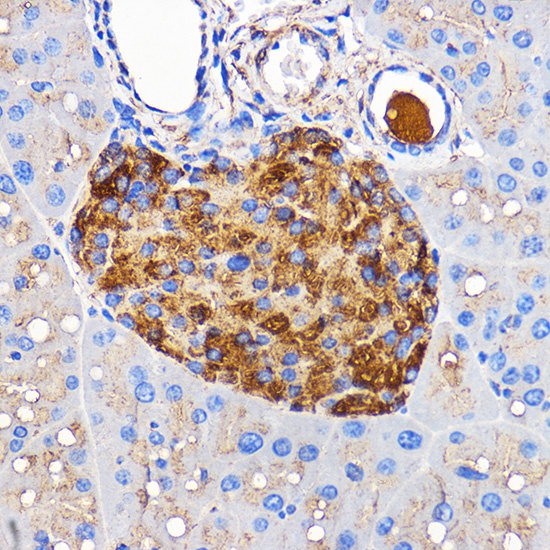
Anti-IAPP Antibody (CAB2816)
The IAPP Polyclonal Antibody (CAB2816) is a valuable tool for researchers studying the Islet Amyloid Polypeptide (IAPP), a peptide hormone secreted by pancreatic beta cells. This antibody, produced in rabbits, is highly specific and reacts with IAPP in human samples, making it ideal for use in immunohistochemistry and other experimental techniques. By targeting IAPP, this antibody allows for accurate detection and analysis of this important hormone in various biological samples, providing insights into its role in diabetes and other metabolic disorders.IAPP is known to play a crucial role in the regulation of glucose metabolism and insulin sensitivity, making it a key target for research in diabetes and related conditions.
Dysregulation of IAPP function has been implicated in the pathogenesis of Type 2 diabetes and other metabolic disorders, highlighting the importance of studying this peptide hormone in both normal and diseased states. The IAPP Polyclonal Antibody offers researchers a reliable tool for investigating the physiological and pathological roles of IAPP, paving the way for potential therapeutic interventions targeting this hormone.
| Antibody Name: | Anti-IAPP Antibody |
| Antibody SKU: | CAB2816 |
| Antibody Size: | 20uL, 50uL, 100uL |
| Application: | IHC IF |
| Reactivity: | Human, Mouse, Rat |
| Host Species: | Rabbit |
| Immunogen: | A synthetic peptide of human IAPP |
| Application: | IHC IF |
| Recommended Dilution: | IHC 1:50 - 1:200 IF 1:50 - 1:200 |
| Reactivity: | Human, Mouse, Rat |
| Positive Samples: |
| Immunogen: | A synthetic peptide of human IAPP |
| Purification Method: | Affinity purification |
| Storage Buffer: | Store at -20'C. Avoid freeze / thaw cycles. Buffer: PBS with 0.02% sodium azide, 50% glycerol, pH7.3. |
| Isotype: | IgG |
| Sequence: | Email for sequence |
| Gene ID: | 3375 |
| Uniprot: | P10997 |
| Cellular Location: | Secreted |
| Calculated MW: | 9kDa |
| Observed MW: | Refer to figures |
| Synonyms: | IAPP, DAP, IAP |
| Background: | This gene encodes a member of the calcitonin family of peptide hormones. This hormone is released from pancreatic beta cells following food intake to regulate blood glucose levels and act as a satiation signal. Human patients with type 1 and advanced type 2 diabetes exhibit reduced levels of the encoded hormone in blood and pancreas. This protein also exhibits a bactericidal, antimicrobial activity. |
| UniProt Protein Function: | IAPP: Selectively inhibits insulin-stimulated glucose utilization and glycogen deposition in muscle, while not affecting adipocyte glucose metabolism. Belongs to the calcitonin family. |
| UniProt Protein Details: | Protein type:Secreted; Secreted, signal peptide Chromosomal Location of Human Ortholog: 12p12.1 Cellular Component: extracellular space; cell soma; extracellular region Molecular Function:identical protein binding; hormone activity; receptor binding Biological Process: negative regulation of cell differentiation; cell-cell signaling; eating behavior; apoptosis; sensory perception of pain; negative regulation of bone resorption; signal transduction; endocrine pancreas development |
| NCBI Summary: | The protein encoded by this gene is commonly found in pancreatic islets of patients suffering diabetes mellitus type II, or harboring an insulinoma. Studies suggest that this protein, like the related beta-amyloid (Abeta) associated with Alzheimer's disease, can induce apoptotic cell-death in particular cultured cells, an effect that may be relevant to the development of type II diabetes. This protein also exhibits an bactericidal, antimicrobial activity. [provided by RefSeq, Sep 2014] |
| UniProt Code: | P10997 |
| NCBI GenInfo Identifier: | 124006 |
| NCBI Gene ID: | 3375 |
| NCBI Accession: | P10997.1 |
| UniProt Secondary Accession: | P10997,Q0ZD87, Q14598, |
| UniProt Related Accession: | P10997 |
| Molecular Weight: | 89 |
| NCBI Full Name: | Islet amyloid polypeptide |
| NCBI Synonym Full Names: | islet amyloid polypeptide |
| NCBI Official Symbol: | IAPPÂ Â |
| NCBI Official Synonym Symbols: | DAP; IAPÂ Â |
| NCBI Protein Information: | islet amyloid polypeptide; amylin; insulinoma amyloid peptide; diabetes-associated peptide; Islet amyloid polypeptide (diabetes-associated peptide; amylin) |
| UniProt Protein Name: | Islet amyloid polypeptide |
| UniProt Synonym Protein Names: | Amylin; Diabetes-associated peptide; DAP; Insulinoma amyloid peptide |
| Protein Family: | Islet amyloid polypeptide |
| UniProt Gene Name: | IAPPÂ Â |
| UniProt Entry Name: | IAPP_HUMAN |



