The ICT1 Antibody (CAB11590) is a high-quality antibody developed for reliable detection and analysis of target proteins. This antibody, generated in rabbits, exhibits high reactivity with human samples and is validated for use in a variety of applications, including Western blotting. By specifically binding to the ICT1 protein, this antibody allows for precise detection and analysis in different cell types, making it ideal for investigations in the fields of molecular biology and mitochondrial function.ICT1 is an essential component of the mitochondrial translation machinery, playing a crucial role in the synthesis of proteins within the mitochondria.
This antibody is validated for use in WB, ELISA applications and has demonstrated reactivity against Human, Mouse samples.
Product Name:
ICT1 Antibody
SKU:
CAB11590
Size:
20μL, 100μL
Reactivity:
Human, Mouse
Conjugate:
Unconjugated
Immunogen:
Recombinant protein (or fragment).This information is considered to be commercially sensitive.
The protein encoded by this gene is a peptidyl-tRNA hydrolase and a vital component of the large mitochondrial ribosome. The encoded protein serves as a ribosome release factor for this ribosome, which translates mitochondrial genes. This protein may be responsible for degrading prematurely-terminated polypeptides and for reusing stalled ribosomes. Two transcript variants encoding different isoforms have been found for this gene.
Purification Method
Affinity purification
Gene ID
3396
RRID
AB_2758619
Buffer Information
Store at -20℃. Avoid freeze / thaw cycles. Buffer: PBS with 0.01% thimerosal,50% glycerol,pH7.3.
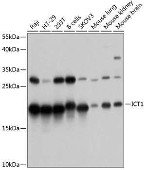
Western blot analysis of various lysates using ICT1 Rabbit pAb (CAB11590) at 1:1000 dilution. Secondary antibody: HRP-conjugated Goat anti-Rabbit IgG (H+L) (CABS014) at 1:10000 dilution. Lysates/proteins: 25μg per lane. Blocking buffer: 3% nonfat dry milk in TBST. Detection: ECL Basic Kit (AbGn00020). Exposure time: 5s.