The IFNL3 Antibody (CAB12908) is a high-quality antibody developed for reliable detection and analysis of target proteins. This antibody, produced in rabbits, is highly specific to human samples and has been validated for use in various applications, including Western blotting.IFNL3, also known as interleukin 28B (IL-28B), is a key player in the immune system's defense against viruses, particularly in the liver. Its role in regulating viral infections, such as hepatitis C, makes it a target of interest in infectious disease research.
This antibody is validated for use in IHC-P, ELISA applications and has demonstrated reactivity against Human, Mouse, Rat samples.
Product Name:
IFNL3 Antibody
SKU:
CAB12908
Size:
20μL, 100μL
Reactivity:
Human, Mouse, Rat
Conjugate:
Unconjugated
Immunogen:
Recombinant protein (or fragment).This information is considered to be commercially sensitive.
This gene encodes a cytokine distantly related to type I interferons and the IL-10 family. This gene, interleukin 28A (IL28A), and interleukin 29 (IL29) are three closely related cytokine genes that form a cytokine gene cluster on a chromosomal region mapped to 19q13. Expression of the cytokines encoded by the three genes can be induced by viral infection. All three cytokines have been shown to interact with a heterodimeric class II cytokine receptor that consists of interleukin 10 receptor, beta (IL10RB) and interleukin 28 receptor, alpha (IL28RA).
Purification Method
Affinity purification
Gene ID
282617
RRID
AB_2759753
Buffer Information
Store at -20℃. Avoid freeze / thaw cycles. Buffer: PBS containing 50% glycerol, preserved with proclin300 or sodium azide, pH 7.3.
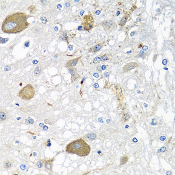
Immunohistochemistry analysis of paraffin-embedded Rat brain using IFNL3 Rabbit pAb (CAB12908) at dilution of 1:100 (40x lens). Microwave antigen retrieval performed with 0.01M PBS Buffer (pH 7.2) prior to IHC staining.
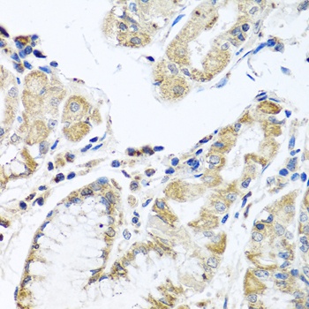
Immunohistochemistry analysis of paraffin-embedded Human stomach using IFNL3 Rabbit pAb (CAB12908) at dilution of 1:100 (40x lens). Microwave antigen retrieval performed with 0.01M PBS Buffer (pH 7.2) prior to IHC staining.
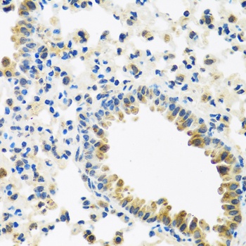
Immunohistochemistry analysis of paraffin-embedded Mouse lung using IFNL3 Rabbit pAb (CAB12908) at dilution of 1:100 (40x lens). Microwave antigen retrieval performed with 0.01M PBS Buffer (pH 7.2) prior to IHC staining.