The IL17RE Antibody (CAB14315) is a high-quality antibody developed for reliable detection and analysis of target proteins. This antibody, produced in rabbits, is highly reactive with human samples and has been validated for use in Western blot applications. By binding to the IL17RE protein, this antibody enables detection and analysis in various cell types, making it ideal for studies in immunology and inflammatory diseases.IL17RE is a critical receptor involved in the immune response, particularly in the regulation of pro-inflammatory cytokines. It plays a key role in the development of autoimmune diseases, chronic inflammation, and other immune-related disorders.
This antibody is validated for use in WB, ELISA applications and has demonstrated reactivity against Human, Mouse samples.
Product Name:
IL17RE Antibody
SKU:
CAB14315
Size:
20μL, 100μL
Reactivity:
Human, Mouse
Conjugate:
Unconjugated
Immunogen:
Recombinant protein (or fragment).This information is considered to be commercially sensitive.
Recommended starting concentration is 1 μg/mL. Please optimize the concentration based on your specific assay requirements.
Synonyms:
IL17RE
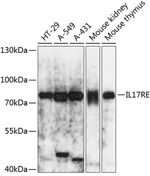
Positive Sample:
HT-29, A-549, A-431, Mouse kidney, Mouse thymus
Cellular Localization:
Cell Membrane, Cytoplasm, Secreted, Single-Pass Type I Membrane Protein.
Calculated MW:
75kDa
Observed MW:
75kDa
This gene encodes a transmembrane protein that functions as the receptor for interleukin-17C. The encoded protein signals to downstream components of the mitogen activated protein kinase (MAPK) pathway. Activity of this protein is important in the immune response to bacterial pathogens. Alternatively spliced transcript variants have been described for this gene.
Purification Method
Affinity purification
Gene ID
132014
RRID
AB_2761179
Buffer Information
Store at -20℃. Avoid freeze / thaw cycles. Buffer: PBS with 0.01% thimerosal,50% glycerol,pH7.3.
Western blot analysis of various lysates using IL17RE Rabbit pAb (CAB14315) at 1:3000 dilution. Secondary antibody: HRP-conjugated Goat anti-Rabbit IgG (H+L) (CABS014) at 1:10000 dilution. Lysates/proteins: 25μg per lane. Blocking buffer: 3% nonfat dry milk in TBST. Detection: ECL Basic Kit (AbGn00020). Exposure time: 5s.