The IL18 Antibody (CAB20473) is a high-quality antibody developed for reliable detection and analysis of target proteins. This antibody is produced in rabbits and exhibits high reactivity with human samples, making it a reliable choice for Western blotting applications. By binding to IL-18, this antibody enables accurate detection and analysis of the protein in different cell types, opening up opportunities for studies in immunology, inflammation, and related fields.
This antibody is validated for use in WB, IHC-P, ELISA applications and has demonstrated reactivity against Human, Mouse, Rat samples.
Product Name:
IL18 Antibody
SKU:
CAB20473
Size:
20μL, 100μL
Reactivity:
Human, Mouse, Rat
Conjugate:
Unconjugated
Immunogen:
Recombinant protein (or fragment).This information is considered to be commercially sensitive.
Enables cytokine activity. Involved in lipid homeostasis; positive regulation of cell differentiation; and positive regulation of cold-induced thermogenesis. Acts upstream of or within several processes, including interleukin-18-mediated signaling pathway; positive regulation of NIK/NF-kappaB signaling; and positive regulation of interferon-gamma production. Located in extracellular space. Is expressed in several structures, including back skin; dorsal aorta; gut; lymphatic system; and reproductive system. Used to study atopic dermatitis. Human ortholog(s) of this gene implicated in several diseases, including Kawasaki disease; allergic rhinitis; autoimmune disease (multiple); biliary atresia; and hepatitis B. Orthologous to human IL18 (interleukin 18).
Purification Method
Affinity purification
Gene ID
16173
Buffer Information
Store at -20℃. Avoid freeze / thaw cycles. Buffer: PBS containing 50% glycerol, preserved with proclin300 or sodium azide, pH 7.3.
Western blot analysis of various lysates using IL18 Rabbit pAb (CAB20473) at 1:1000 dilution. Secondary antibody: HRP-conjugated Goat anti-Rabbit IgG (H+L) (CABS014) at 1:10000 dilution. Lysates/proteins: 25μg per lane. Blocking buffer: 3% nonfat dry milk in TBST. Detection: ECL Basic Kit (AbGn00020). Exposure time: 30s.
Western blot analysis of lysates from Rat brain, using IL18 Rabbit pAb (CAB20473) at 1:1000 dilution. Secondary antibody: HRP-conjugated Goat anti-Rabbit IgG (H+L) (CABS014) at 1:10000 dilution. Lysates/proteins: 25μg per lane. Blocking buffer: 3% nonfat dry milk in TBST. Detection: ECL Basic Kit (AbGn00020). Exposure time: 180s.
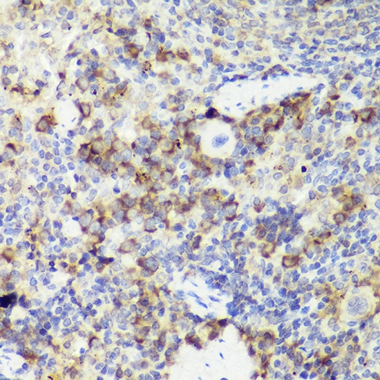
Immunohistochemistry analysis of paraffin-embedded Human tonsil using IL18 Rabbit pAb (CAB20473) at dilution of 1:50 (40x lens). High pressure antigen retrieval performed with 0.01M Citrate buffer (pH 6.0) prior to IHC staining.
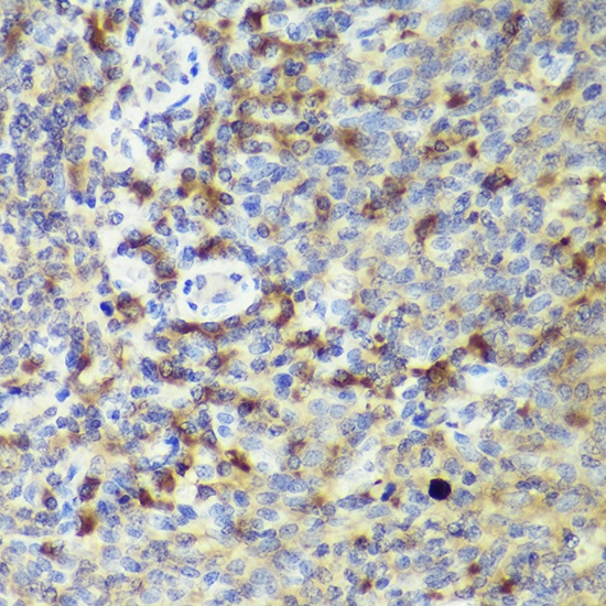
Immunohistochemistry analysis of paraffin-embedded Mouse spleen using IL18 Rabbit pAb (CAB20473) at dilution of 1:50 (40x lens). High pressure antigen retrieval performed with 0.01M Citrate buffer (pH 6.0) prior to IHC staining.