The IL20RB Antibody (CAB7980) is a high-quality antibody developed for reliable detection and analysis of target proteins. Raised in rabbits, this antibody is highly specific for human samples and has been validated for use in Western blot applications. By binding to the IL20RB protein, researchers can detect and analyze its expression in various cell types, making it ideal for studies in immunology, autoimmune diseases, and inflammatory conditions.
This antibody is validated for use in WB, ELISA applications and has demonstrated reactivity against Human, Mouse, Rat samples.
Product Name:
IL20RB Antibody
SKU:
CAB7980
Size:
20μL, 100μL
Reactivity:
Human, Mouse, Rat
Conjugate:
Unconjugated
Immunogen:
Recombinant protein (or fragment).This information is considered to be commercially sensitive.
Recommended starting concentration is 1 μg/mL. Please optimize the concentration based on your specific assay requirements.
Synonyms:
DIRS1, FNDC6, IL-20R2, IL20RB
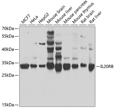
Positive Sample:
MCF7, HeLa, HepG2, Mouse brain, Mouse liver, Mouse pancreas, Mouse thymus, Rat brain, Rat liver
Cellular Localization:
Membrane, Single-Pass Type I Membrane Protein.
Calculated MW:
35kDa
Observed MW:
35kDa
IL20RB and IL20RA (MIM 605620) form a heterodimeric receptor for interleukin-20 (IL20; MIM 605619) (Blumberg et al., 2001 [PubMed 11163236]).
Purification Method
Affinity purification
Gene ID
53833
RRID
AB_2769952
Buffer Information
Store at -20℃. Avoid freeze / thaw cycles. Buffer: PBS containing 50% glycerol, preserved with proclin300 or sodium azide, pH 7.3.
Western blot analysis of various lysates using IL20RB Rabbit pAb (CAB7980) at 1:1000 dilution. Secondary antibody: HRP-conjugated Goat anti-Rabbit IgG (H+L) (CABS014) at 1:10000 dilution. Lysates/proteins: 25μg per lane. Blocking buffer: 3% nonfat dry milk in TBST. Detection: ECL Basic Kit (AbGn00020). Exposure time: 30s.