The IL2RG Antibody (CAB1829) is a high-quality antibody developed for reliable detection and analysis of target proteins. This antibody, produced in rabbits, exhibits high reactivity with human samples and is validated for use in Western blot applications. By specifically binding to the IL2RG protein, researchers can easily detect and analyze its expression in various cell types, making it an ideal choice for studies in immunology and cancer research.
This antibody is validated for use in WB, ELISA applications and has demonstrated reactivity against Human, Mouse samples.
Product Name:
IL2RG Antibody
SKU:
CAB1829
Size:
20μL, 100μL
Reactivity:
Human, Mouse
Conjugate:
Unconjugated
Immunogen:
Recombinant protein (or fragment).This information is considered to be commercially sensitive.
Recommended starting concentration is 1 μg/mL. Please optimize the concentration based on your specific assay requirements.
Synonyms:
P64, CIDX, IMD4, CD132, SCIDX, IL-2RG, SCIDX1, CD132/IL-2 R gamma
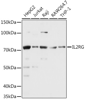
Positive Sample:
HepG2, Jurkat, Raji, RAW264.7, THP-1
Cellular Localization:
Membrane, Single-Pass Type I Membrane Protein.
Calculated MW:
42kDa
Observed MW:
70kDa
The protein encoded by this gene is an important signaling component of many interleukin receptors, including those of interleukin -2, -4, -7 and -21, and is thus referred to as the common gamma chain. Mutations in this gene cause X-linked severe combined immunodeficiency (XSCID), as well as X-linked combined immunodeficiency (XCID), a less severe immunodeficiency disorder.
Purification Method
Affinity purification
Gene ID
3561
RRID
AB_2763866
Buffer Information
Store at -20℃. Avoid freeze / thaw cycles. Buffer: PBS containing 50% glycerol, preserved with proclin300 or sodium azide, pH 7.3.
Western blot analysis of various lysates using CD132/IL-2 R gamma Rabbit pAb (CAB1829) at 1:1000 dilution. Secondary antibody: HRP-conjugated Goat anti-Rabbit IgG (H+L) (CABS014) at 1:10000 dilution. Lysates/proteins: 25μg per lane. Blocking buffer: 3% nonfat dry milk in TBST. Detection: ECL Basic Kit (AbGn00020). Exposure time: 5s.