The IL21 Antibody (CAB7235) is a high-quality antibody developed for reliable detection and analysis of target proteins. This antibody, produced using rabbit immunization, is highly specific for detecting interleukin-21 in human samples and is validated for use in Western blotting applications.Interleukin-21 is a key player in the immune response, influencing various cell types such as T cells, B cells, and natural killer cells. Its dysregulation has been implicated in autoimmune diseases, cancer, and inflammatory conditions, highlighting its importance in biomedical research.
This antibody is validated for use in WB, IHC-P, IF/ICC, ELISA applications and has demonstrated reactivity against Human, Mouse, Rat samples.
Product Name:
IL21 Antibody
SKU:
CAB7235
Size:
20μL, 100μL
Reactivity:
Human, Mouse, Rat
Conjugate:
Unconjugated
Immunogen:
Recombinant protein (or fragment).This information is considered to be commercially sensitive.
Recommended starting concentration is 1 μg/mL. Please optimize the concentration based on your specific assay requirements.
Synonyms:
Za11, IL-21, CVID11, IL21
Positive Sample:
Raji, Mouse thymus, Rat spleen
Cellular Localization:
Secreted.
Calculated MW:
19kDa
Observed MW:
19kDa
This gene encodes a member of the common-gamma chain family of cytokines with immunoregulatory activity. The encoded protein plays a role in both the innate and adaptive immune responses by inducing the differentiation, proliferation and activity of multiple target cells including macrophages, natural killer cells, B cells and cytotoxic T cells. Dysregulation of this gene plays a role in multiple immune-mediated diseases including lupus, psoriasis and chronic inflammatory diseases. Alternatively spliced transcript variants encoding multiple isoforms have been observed for this gene.
Purification Method
Affinity purification
Gene ID
59067
RRID
AB_2767783
Buffer Information
Store at -20℃. Avoid freeze / thaw cycles. Buffer: PBS containing 50% glycerol, preserved with proclin300 or sodium azide, pH 7.3.
Western blot analysis of various lysates using (CAB7235) at 1:500 dilution. Secondary antibody: HRP-conjugated Goat anti-Rabbit IgG (H+L) (CABS014) at 1:10000 dilution. Lysates/proteins: 25μg per lane. Blocking buffer: 3% nonfat dry milk in TBST. Detection: ECL Enhanced Kit (AbGn00021). Exposure time: 180s.
Western blot analysis of lysates from Rat spleen, using (CAB7235) at 1:500 dilution. Secondary antibody: HRP-conjugated Goat anti-Rabbit IgG (H+L) (CABS014) at 1:10000 dilution. Lysates/proteins: 25μg per lane. Blocking buffer: 3% nonfat dry milk in TBST. Detection: ECL Basic Kit (AbGn00020). Exposure time: 180s.
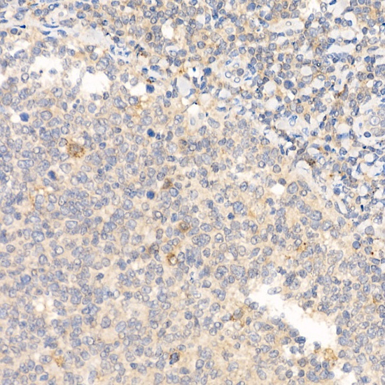
Immunohistochemistry analysis of paraffin-embedded Human tonsil using IL21 Rabbit pAb (CAB7235) at dilution of 1:50 (40x lens). High pressure antigen retrieval performed with 0.01M Citrate buffer (pH 6.0) prior to IHC staining.
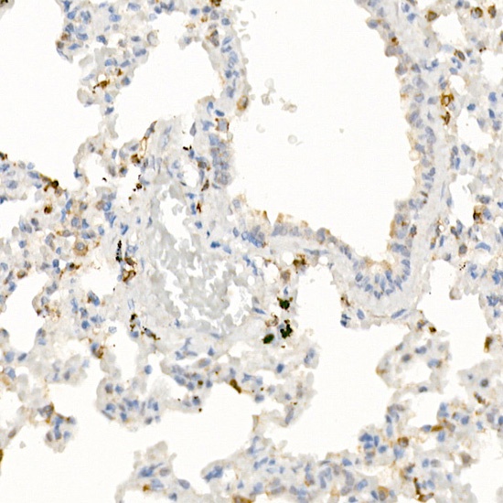
Immunohistochemistry analysis of paraffin-embedded Rat lung using IL21 Rabbit pAb (CAB7235) at dilution of 1:50 (40x lens). High pressure antigen retrieval performed with 0.01M Citrate buffer (pH 6.0) prior to IHC staining.
Immunofluorescence analysis of HeLa cells using IL21 Rabbit pAb (CAB7235) at dilution of 1:50 (40x lens). Secondary antibody: Cy3-conjugated Goat anti-Rabbit IgG (H+L) (CABS007) at 1:500 dilution. Blue: DAPI for nuclear staining.