The IP6K1 Antibody (CAB12216) is a high-quality antibody developed for reliable detection and analysis of target proteins. This antibody, produced in rabbits, demonstrates high reactivity with human samples and has been validated for use in Western blot applications. By specifically binding to the IP6K1 protein, this antibody enables accurate detection and analysis in a variety of cell types, allowing for in-depth research in areas such as cell signaling, metabolism, and disease mechanisms.
This antibody is validated for use in WB, IHC-P, ELISA applications and has demonstrated reactivity against Human, Mouse, Rat samples.
Product Name:
IP6K1 Antibody
SKU:
CAB12216
Size:
20μL, 100μL
Reactivity:
Human, Mouse, Rat
Conjugate:
Unconjugated
Immunogen:
Recombinant protein (or fragment).This information is considered to be commercially sensitive.
Recommended starting concentration is 1 μg/mL. Please optimize the concentration based on your specific assay requirements.
Synonyms:
PiUS, IHPK1, IP6K1
Positive Sample:
HeLa, 293T, HepG2, Mouse brain, Rat brain, Rat testis
Cellular Localization:
Cytoplasm, Nucleus.
Calculated MW:
50kDa
Observed MW:
57kDa
This gene encodes a member of the inositol phosphokinase family. The encoded protein may be responsible for the conversion of inositol hexakisphosphate (InsP6) to diphosphoinositol pentakisphosphate (InsP7/PP-InsP5). It may also convert 1,3,4,5,6-pentakisphosphate (InsP5) to PP-InsP4. Alternatively spliced transcript variants have been described.
Purification Method
Affinity purification
Gene ID
9807
RRID
AB_2759095
Buffer Information
Store at -20℃. Avoid freeze / thaw cycles. Buffer: PBS with 0.01% thimerosal,50% glycerol,pH7.3.
Western blot analysis of various lysates using IP6K1 Rabbit pAb (CAB12216) at 1:1000 dilution. Secondary antibody: HRP-conjugated Goat anti-Rabbit IgG (H+L) (CABS014) at 1:10000 dilution. Lysates/proteins: 25μg per lane. Blocking buffer: 3% nonfat dry milk in TBST. Detection: ECL Basic Kit (AbGn00020). Exposure time: 10s.
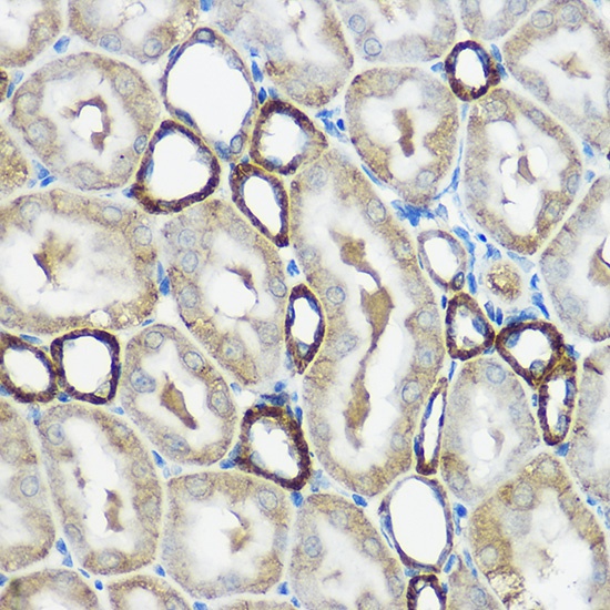
Immunohistochemistry analysis of paraffin-embedded Rat kidney using IP6K1 Rabbit pAb (CAB12216) at dilution of 1:100 (40x lens). High pressure antigen retrieval performed with 0.01M Citrate buffer (pH 6.0) prior to IHC staining.