The ITFG1 Antibody (CAB15901) is a high-quality antibody developed for reliable detection and analysis of target proteins. This antibody, generated in rabbits, exhibits high specificity for human samples and is suitable for use in Western blot applications. By binding to the ITFG1 protein, this antibody enables accurate detection and analysis in a variety of cell types, making it an essential component for studies in cell biology and cancer research.ITFG1, also known as Integrin alpha FG-GAP repeat-containing protein 1, plays a crucial role in cell adhesion and migration processes that are essential for various physiological functions, including tissue development and wound healing.
This antibody is validated for use in WB, ELISA applications and has demonstrated reactivity against Human, Mouse, Rat samples.
Product Name:
ITFG1 Antibody
SKU:
CAB15901
Size:
20μL, 100μL
Reactivity:
Human, Mouse, Rat
Conjugate:
Unconjugated
Immunogen:
Recombinant protein (or fragment).This information is considered to be commercially sensitive.
Membrane, Secreted, Single-Pass Type I Membrane Protein.
Calculated MW:
68kDa
Observed MW:
80kDa
Located in extracellular exosome.
Purification Method
Affinity purification
Gene ID
81533
RRID
AB_2763332
Buffer Information
Store at -20℃. Avoid freeze / thaw cycles. Buffer: PBS with 0.01% thimerosal,50% glycerol,pH7.3.
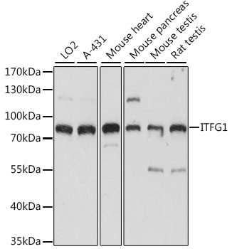
Western blot analysis of various lysates using ITFG1 Rabbit pAb (CAB15901) at 1:1000 dilution. Secondary antibody: HRP-conjugated Goat anti-Rabbit IgG (H+L) (CABS014) at 1:10000 dilution. Lysates/proteins: 25μg per lane. Blocking buffer: 3% nonfat dry milk in TBST. Detection: ECL Basic Kit (AbGn00020). Exposure time: 3s.