JAGN1 Antibody is a premium polyclonal that offers outstanding performance and reliability for demanding research applications. Rigorously validated for ELISA, WB, IHC, IF, this antibody ensures consistent, reproducible results across multiple experimental platforms. Demonstrates excellent reactivity with Human samples, providing researchers with confidence in cross-species compatibility. Conveniently packaged in 50ug format to meet your experimental needs. For optimal performance, store at -20°C or -80°C and maintains stability for 12 months. Backed by rigorous quality control testing to ensure superior performance in your critical research applications.
Product Name:
JAGN1 Antibody
SKU:
PACO37938
Size:
50μg
Isotype:
IgG
Host Species:
Rabbit
Reactivity:
Human
Immunogen:
Recombinant Human Protein jagunal homolog 1 protein (1-39AA)
Western blot All lanes: JAGN1 antibody at 3µg/ml + HL60 whole cell lysate Secondary Goat polyclonal to rabbit IgG at 1/10000 dilution Predicted band size: 22 kDa Observed band size: 22 kDa
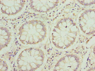
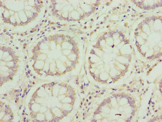
Immunohistochemistry of paraffin-embedded human colon cancer using PACO37938 at dilution of 1:100
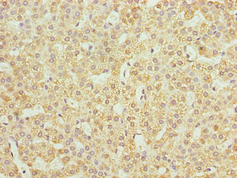
Immunohistochemistry of paraffin-embedded human adrenal gland tissue using PACO37938 at dilution of 1:100
Immunofluorescent analysis of A549 cells using PACO37938 at dilution of 1:100 and Alexa Fluor 488-congugated AffiniPure Goat Anti-Rabbit IgG(H+L)