KBTBD4 Antibody is a premium polyclonal that offers outstanding performance and reliability for demanding research applications. Rigorously validated for ELISA, WB, IHC, this antibody ensures consistent, reproducible results across multiple experimental platforms. Demonstrates excellent reactivity with Human, Mouse samples, providing researchers with confidence in cross-species compatibility. Conveniently packaged in 50ug format to meet your experimental needs. For optimal performance, store at -20°C or -80°C and maintains stability for 12 months. Backed by rigorous quality control testing to ensure superior performance in your critical research applications.
Product Name:
KBTBD4 Antibody
SKU:
PACO41710
Size:
50μg
Isotype:
IgG
Host Species:
Rabbit
Reactivity:
Human, Mouse
Immunogen:
Recombinant Human Kelch repeat and BTB domain-containing protein 4 protein (151-415AA)
Immunogen Species:
Homo sapiens (Human)
Uniprot No:
Q9NVX7
Form:
Liquid
Tested Applications:
ELISAWBIHC
Recommended Dilution:
Application
Recommended Dilution
WB
1:500-1:2000
IHC
1:20-1:200
Synonyms:
BKLHD4 antibody, BTB and kelch domain containing 4 antibody, BTB and kelch domain-containing protein 4 antibody, FLJ10450 antibody, HSPC252 antibody, KBTB4_HUMAN antibody, KBTBD4 antibody, Kelch repeat and BTB domain-containing protein 4 antibody, OTTHUMP00000234356 antibody, OTTHUMP00000234357 antibody, OTTHUMP00000234358 antibody
Western blot All lanes: KBTBD4 antibody at 10µg/ml Lane 1: U87 whole cell lysate Lane 2: NIH/3T3 whole cell lysate Secondary Goat polyclonal to rabbit IgG at 1/10000 dilution Predicted band size: 59, 60 kDa Observed band size: 59 kDa
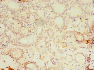
Immunohistochemistry of paraffin-embedded human testis tissue using PACO41710 at dilution of 1:100
Immunohistochemistry of paraffin-embedded human breast cancer using PACO41710 at dilution of 1:100