The KCNJ4 Antibody (CAB14010) is a high-quality antibody developed for reliable detection and analysis of target proteins. This antibody, produced in rabbits, demonstrates high reactivity with human samples and is validated for use in Western blot applications. By binding specifically to the KCNJ4 protein, this antibody facilitates the detection and analysis of KCNJ4 in various cell types, making it an essential tool for investigations in the fields of physiology, neuroscience, and cardiovascular research.
This antibody is validated for use in WB, IHC-P, ELISA applications and has demonstrated reactivity against Human, Mouse, Rat samples.
Product Name:
KCNJ4 Antibody
SKU:
CAB14010
Size:
20μL, 100μL
Reactivity:
Human, Mouse, Rat
Conjugate:
Unconjugated
Immunogen:
Synthetic peptide. This information is considered to be commercially sensitive.
Several different potassium channels are known to be involved with electrical signaling in the nervous system. One class is activated by depolarization whereas a second class is not. The latter are referred to as inwardly rectifying K+ channels, and they have a greater tendency to allow potassium to flow into the cell rather than out of it. This asymmetry in potassium ion conductance plays a key role in the excitability of muscle cells and neurons. The protein encoded by this gene is an integral membrane protein and member of the inward rectifier potassium channel family. The encoded protein has a small unitary conductance compared to other members of this protein family. Two transcript variants encoding the same protein have been found for this gene.
Purification Method
Affinity purification
Gene ID
3761
RRID
AB_2760865
Buffer Information
Store at -20℃. Avoid freeze / thaw cycles. Buffer: PBS containing 50% glycerol, preserved with proclin300 or sodium azide, pH 7.3.
Western blot analysis of various lysates using KCNJ4 Rabbit pAb (CAB14010) at 1:1000 dilution. Secondary antibody: HRP-conjugated Goat anti-Rabbit IgG (H+L) (CABS014) at 1:10000 dilution. Lysates/proteins: 25μg per lane. Blocking buffer: 3% nonfat dry milk in TBST. Detection: ECL Enhanced Kit (AbGn00021). Exposure time: 30s.
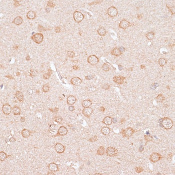
Immunohistochemistry analysis of paraffin-embedded Rat brain using KCNJ4 Rabbit pAb (CAB14010) at dilution of 1:100 (40x lens). Microwave antigen retrieval performed with 0.01M PBS Buffer (pH 7.2) prior to IHC staining.