KHDC1 Antibody is a premium polyclonal that offers outstanding performance and reliability for demanding research applications. Rigorously validated for ELISA, WB, IHC, IF, this antibody ensures consistent, reproducible results across multiple experimental platforms. Demonstrates excellent reactivity with Human, Mouse samples, providing researchers with confidence in cross-species compatibility. Conveniently packaged in 50ug format to meet your experimental needs. For optimal performance, store at -20°C or -80°C and maintains stability for 12 months. Backed by rigorous quality control testing to ensure superior performance in your critical research applications.
Product Name:
KHDC1 Antibody
SKU:
PACO36282
Size:
50μg
Isotype:
IgG
Host Species:
Rabbit
Reactivity:
Human, Mouse
Immunogen:
Recombinant Human KH homology domain-containing protein 1 protein (74-237AA)
Immunogen Species:
Homo sapiens (Human)
Uniprot No:
Q4VXA5
Form:
Liquid
Tested Applications:
ELISAWBIHCIF
Recommended Dilution:
Application
Recommended Dilution
WB
1:500-1:2000
IHC
1:20-1:200
IF
1:50-1:200
Synonyms:
KHDC1, C6orf147, C6orf148, KH homology domain-containing protein 1
Western blot All lanes: KHDC1 antibody at 5µg/ml Lane 1: Mouse liver tissue Lane 2: Mouse kidney tissue Lane 3: Mouse gonadal tissue Secondary Goat polyclonal to rabbit IgG at 1/10000 dilution Predicted band size: 28, 19 kDa Observed band size: 28 kDa
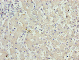
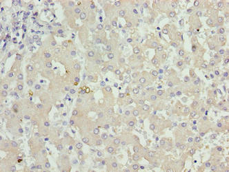
Immunohistochemistry of paraffin-embedded human liver tissue using PACO36282 at dilution of 1:100
Immunofluorescent analysis of A549 cells using PACO36282 at dilution of 1:100 and Alexa Fluor 488-congugated AffiniPure Goat Anti-Rabbit IgG(H+L)