The KIAA1456 Polyclonal Antibody (CAB24520) is a high-quality antibody developed for reliable detection and analysis of target proteins. This antibody, produced in rabbits, exhibits high reactivity towards human samples and has been validated for use in Western blot applications. By binding to the KIAA1456 protein, this antibody enables the detection and analysis of KIAA1456 in different cell types, making it an excellent tool for studies in molecular biology and cell signaling pathways.
This antibody is validated for use in WB, IHC-P, IF/ICC, ELISA applications and has demonstrated reactivity against Human, Mouse, Rat samples.
Product Name:
KIAA1456 Polyclonal Antibody
SKU:
CAB24520
Size:
20μL, 100μL
Reactivity:
Human, Mouse, Rat
Conjugate:
Unconjugated
Immunogen:
Synthetic peptide. This information is considered to be commercially sensitive.
Recommended starting concentration is 1 μg/mL. Please optimize the concentration based on your specific assay requirements.
Synonyms:
KIAA1456, C8orf79, TRM9L
Positive Sample:
BeWo, U266, Mouse brain, Rat uterus
Calculated MW:
14kDa
Observed MW:
51kDa
Enables tRNA methyltransferase activity. Predicted to be involved in tRNA wobble uridine modification. Predicted to be active in cytoplasm and nucleus.
Purification Method
Affinity purification
Gene ID
57604
Buffer Information
Store at -20℃. Avoid freeze / thaw cycles. Buffer: PBS containing 50% glycerol, preserved with proclin300 or sodium azide, pH 7.3.
Western blot analysis of various lysates using KIAA1456 Rabbit pAb (CAB24520) at 1:2000 dilution. Secondary antibody: HRP-conjugated Goat anti-Rabbit IgG (H+L) (CABS014) at 1:10000 dilution. Lysates/proteins: 25 μg per lane. Blocking buffer: 3% nonfat dry milk in TBST. Detection: ECL Basic Kit (AbGn00020). Negative control (NC): THP-1. Exposure time: 5s.
Immunohistochemistry analysis of paraffin-embedded Human cervix tissue using KIAA1456 Rabbit pAb (CAB24520) at a dilution of 1:200 (40x lens). High pressure antigen retrieval was performed with 0.01 M citrate buffer (pH 6.0) prior to IHC staining.
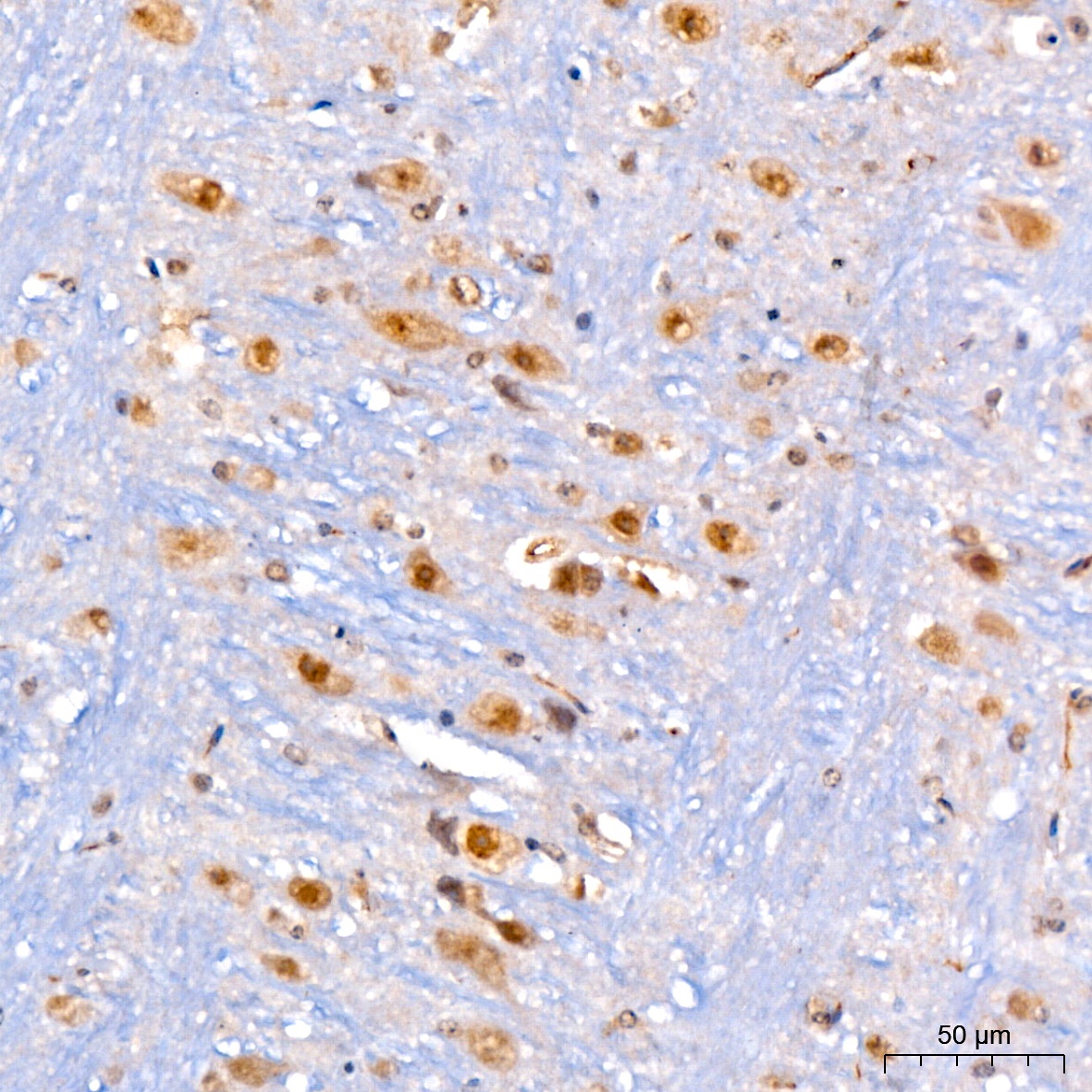
Immunohistochemistry analysis of paraffin-embedded Rat brain tissue using KIAA1456 Rabbit pAb (CAB24520) at a dilution of 1:200 (40x lens). High pressure antigen retrieval was performed with 0.01 M citrate buffer (pH 6.0) prior to IHC staining.
Immunofluorescence analysis of human liver cancer cells using KIAA1456 Rabbit pAb (CAB24520) at dilution of 1:200 (40x lens). Perform high pressure antigen retrieval with 10 mM citrate buffer pH 6.0 before commencing with IF staining protocol.Secondary antibody: Cy3-conjugated Goat anti-Rabbit IgG (H+L) (CABS007) at 1:500 dilution. Blue: DAPI for nuclear staining.