The [KO Validated] NDUFA7 Antibody (CAB8441) is a high-quality antibody developed for reliable detection and analysis of target proteins. This antibody is derived from rabbits and exhibits high reactivity with human samples, making it suitable for use in Western blot applications. By binding specifically to the NDUFA7 protein, researchers can easily detect and analyze its expression in various cell types, providing insight into mitochondrial function and cellular metabolism.
This antibody is validated for use in WB, ELISA applications and has demonstrated reactivity against Human, Mouse, Rat samples.
Product Name:
[KO Validated] NDUFA7 Antibody
SKU:
CAB8441
Size:
20μL, 100μL
Reactivity:
Human, Mouse, Rat
Conjugate:
Unconjugated
Immunogen:
Recombinant protein (or fragment).This information is considered to be commercially sensitive.
Sequence:
MASA TRLI QRLR NWAS GHDL QGKL QLRY QEIS KRTQ PPPK LPVG PSHK LSNN YYCT RDGR RESV PPSI IMSS QKAL VSGK PAES SAVA ATEK KAVT PAPP IKRW ELSS DQPY L
Tested Applications:
WBELISA
Recommended Dilution:
WB
1:500 - 1:2000
ELISA
Recommended starting concentration is 1 μg/mL. Please optimize the concentration based on your specific assay requirements.
This gene encodes a subunit of NADH:ubiquinone oxidoreductase (complex I), which is a multiprotein complex located in the inner mitochondrial membrane. Complex I functions in the transfer of electrons from NADH to the respiratory chain.
Purification Method
Affinity purification
Gene ID
4701
RRID
AB_2863570
Buffer Information
Store at -20℃. Avoid freeze / thaw cycles. Buffer: PBS containing 50% glycerol, preserved with proclin300 or sodium azide, pH 7.3.
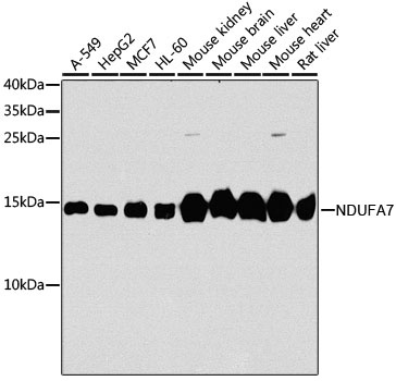
Western blot analysis of various lysates using [KO Validated] NDUFA7 Rabbit pAb (CAB8441) at 1:1000 dilution. Secondary antibody: HRP-conjugated Goat anti-Rabbit IgG (H+L) (CABS014) at 1:10000 dilution. Lysates/proteins: 25μg per lane. Blocking buffer: 3% nonfat dry milk in TBST. Detection: ECL Basic Kit (AbGn00020). Exposure time: 30s.
Western blot analysis of lysates from wild type (WT) and NDUFA7 knockout (KO) 293T cells, using [KO Validated] NDUFA7 Rabbit pAb (CAB8441) at 1:1000 dilution. Secondary antibody: HRP-conjugated Goat anti-Rabbit IgG (H+L) (CABS014) at 1:10000 dilution. Lysates/proteins: 25μg per lane. Blocking buffer: 3% nonfat dry milk in TBST. Detection: ECL Basic Kit (AbGn00020). Exposure time: 5s.