The [KO Validated] Peroxiredoxin 4 (PRDX4) Antibody (CAB1486) is a high-quality antibody developed for reliable detection and analysis of target proteins. This antibody, raised in rabbits, is highly specific and sensitive for detecting Peroxiredoxin 4 in various samples.Peroxiredoxin 4 is involved in maintaining redox balance within cells and is implicated in various diseases, including cancer, neurodegenerative disorders, and cardiovascular diseases. By using the KO Validated Peroxiredoxin 4 Polyclonal Antibody, researchers can effectively study the expression and function of this enzyme in different experimental settings.
This antibody is validated for use in WB, ELISA applications and has demonstrated reactivity against Human, Mouse, Rat samples.
Product Name:
[KO Validated] Peroxiredoxin 4 (PRDX4) Antibody
SKU:
CAB1486
Size:
20μL, 100μL
Reactivity:
Human, Mouse, Rat
Conjugate:
Unconjugated
Immunogen:
Recombinant protein (or fragment).This information is considered to be commercially sensitive.
Recommended starting concentration is 1 μg/mL. Please optimize the concentration based on your specific assay requirements.
Synonyms:
PRX-4, AOE372, AOE37-2, HEL-S-97n, 4)
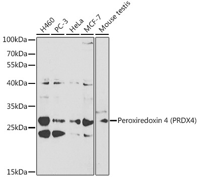
Positive Sample:
H460, PC-3, HeLa, MCF-7, Mouse testis
Cellular Localization:
Cytoplasm, Secreted.
Calculated MW:
31kDa
Observed MW:
28kDa
The protein encoded by this gene is an antioxidant enzyme and belongs to the peroxiredoxin family. The protein is localized to the cytoplasm. Peroxidases of the peroxiredoxin family reduce hydrogen peroxide and alkyl hydroperoxides to water and alcohol with the use of reducing equivalents derived from thiol-containing donor molecules. This protein has been found to play a regulatory role in the activation of the transcription factor NF-kappaB.
Purification Method
Affinity purification
Gene ID
10549
RRID
AB_2861708
Buffer Information
Store at -20℃. Avoid freeze / thaw cycles. Buffer: PBS containing 50% glycerol, preserved with proclin300 or sodium azide, pH 7.3.
Western blot analysis of various lysates using [KO Validated] Peroxiredoxin 4 (PRDX4) Rabbit pAb (CAB1486) at 1:1000 dilution. Secondary antibody: HRP-conjugated Goat anti-Rabbit IgG (H+L) (CABS014) at 1:10000 dilution. Lysates/proteins: 25μg per lane. Blocking buffer: 3% nonfat dry milk in TBST.
Western blot analysis of lysates from wild type (WT) and Peroxiredoxin 4 (Peroxiredoxin 4 (PRDX4)) knockout (KO) 293T cells, using [KO Validated] Peroxiredoxin 4 (PRDX4) Rabbit pAb (CAB1486) at 1:1000 dilution. Secondary antibody: HRP-conjugated Goat anti-Rabbit IgG (H+L) (CABS014) at 1:10000 dilution. Lysates/proteins: 25μg per lane. Blocking buffer: 3% nonfat dry milk in TBST. Detection: ECL Basic Kit (AbGn00020). Exposure time: 5s.